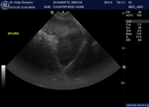
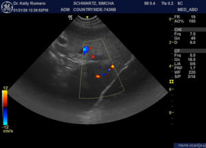
10 yr FS Shep cross with lethargy, weakness and dec. appetite. Concern for the hypoechoic splenic head. Could see vessels on doppler, but think they were attenuated to those in the body. Patient was not painful during the exam. FNAs of the spleen, irregular liver (nodular) and the hypoechoic cranial abdominal lesion shown in the last video are pending. Regarding the latter, no fluid obtained when aspirating other than for slide. Lesion ventral to the stomach and caudal to the liver, not in the region of the pancreas. How worried re spleen blood flow while aspirates pending?


Comments
splenic infarct, necrosis/abscess or sarcoma are my main diffs./ If nowhere else it needs to come out
Thank you, Eric. I need to confirm w/ referring vet, but owner thought the aspirates came back as sarcoma