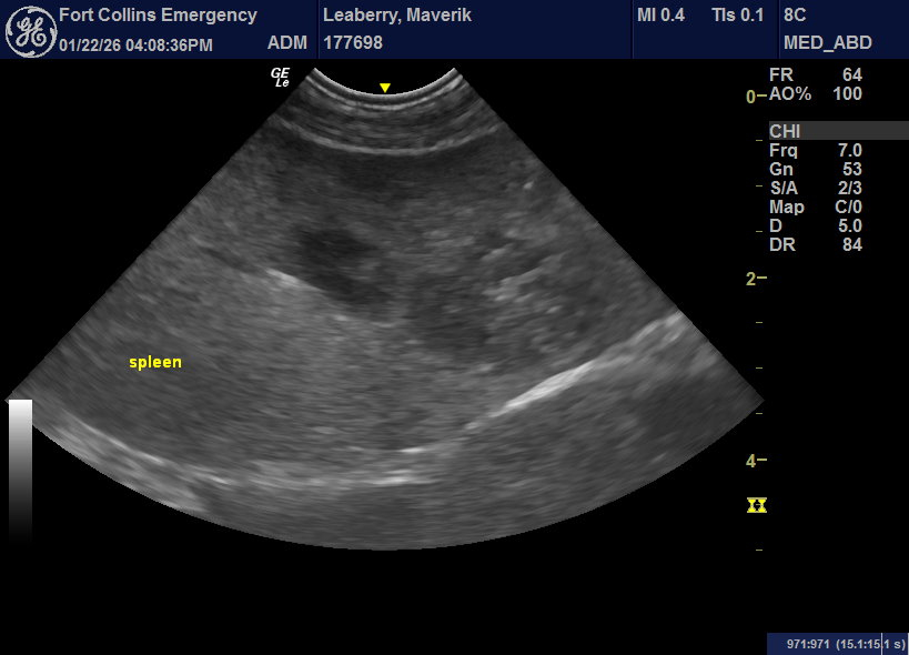
6 yr MI Lab diagnosed with a regenerative anemia with spherocytes, negative slide agglutination, no hematuria, T bili WNL. Spleen very enlarged and irregular and I could not connect the more dorsal structure to any organs. Did FNA’s on both the spleen and suspected mass. Both came back as extramedullary hematopoeisis. Looked so irregular to me, but was I wrong to aspirate? Is this what I should expect from a severely regenerative case? Any thoughts on the accessory splenic tissue?

Comments
With these signs IMHA is still possible – considering running a Coombs’ test. Screening for vector-borne diseases also recommended.
No issue with aspirating the spleen – although FNA came back as EMH, neoplasia is still possible and may need additional FNA.
Thank you, Dr. Lobetti!
vardenafil 20mg
vardenafil 20mg
lasix water pill
lasix water pill
doxycycline antibiotic
doxycycline antibiotic
finasteride for hair loss
finasteride for hair loss
doxycycline 100 mg capsule
doxycycline 100 mg capsule
meloxicam 7.5 mg tablet
meloxicam 7.5 mg tablet
linezolid antibiotic
linezolid antibiotic
buy allopurinol
buy allopurinol
prevacid otc canada
prevacid otc canada
metoprolol 25 mg pill
metoprolol 25 mg pill
doxycycline monohydrate 100mg tablet
doxycycline monohydrate 100mg tablet
vidalista 200mg
vidalista 200mg
cenforce 150 mg tablets
cenforce 150 mg tablets
finasteride topical amazon
finasteride topical amazon
semaglutid i mat
semaglutid i mat
semaglutida comprimido emagrece valor
semaglutida comprimido emagrece valor
does flagyl treat infection
does flagyl treat infection
what is better than bupropion
what is better than bupropion