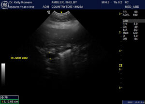
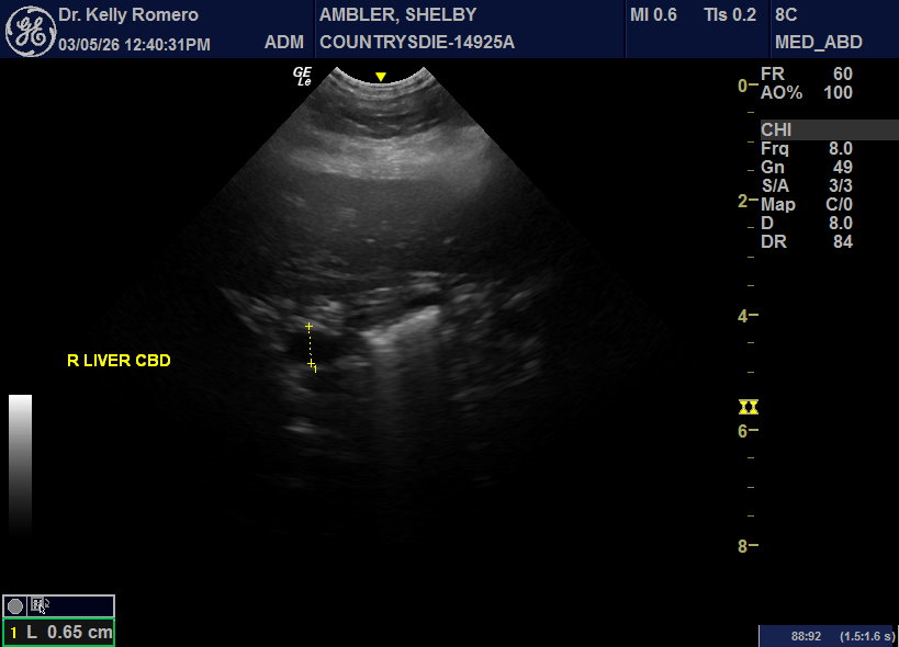
7 year 9 month old FS Chow with lethargy, vomiting and intermittently dribbling blood tinged urine. CBC WNL. Chem – ALT 773, ALP 389, GGT 31, T bili 0.5. Looks like choleliths in biliary tree, but focal region. No reported fever. Started Ursodiol, Denamarin, and antibiotics for cholangiohepatitis (Clavamox and metrondizadole). Urinary bladder looked unremarkable. There was a hyperechoic nodule in the otherwise normal left adrenal gland.



Comments
Rocks in the cbd… may need sx if she doesn’t pop them through the d-pap. Always scan right before cutting.to ensure the song remains the same 🙂
Hi Eric, thank you for taking a look! When I go back through, I can see where some of these hyperechoic choleliths could actually be in the gall bladder instead of outside of it – is there an artifactual phenomenon that causes them to look more like they are outside of the lumen at least in some views or do you think it is a combination of choleliths in the GB and the nearby tree?
I tried multiple positions, including SDEP 11, 12 and 13 and really struggled to image the cystic duct into the CBD. Tips?
Do you think medical treatment is an option in this case while monitoring LE (ursodiol, antibiotics) or best to refer for surgery? CBC looks empty to me, but distended – did I miss a stone in there?
tadalafil 20 mg
tadalafil 20 mg