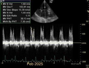
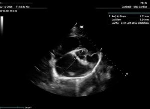
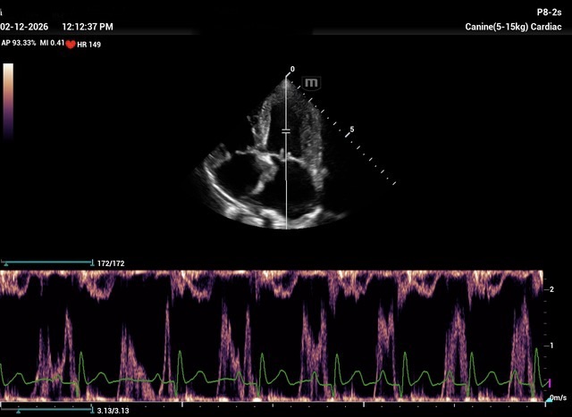
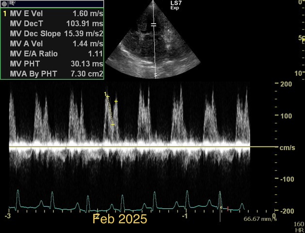
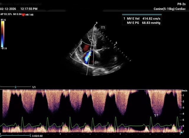
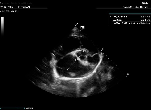
Chronic stage C MVD.TID Pimo and Lasix(high dose), ACEi and Spirono. Doing well. Recheck: Idexx GHP= CBC-NSF ,SDMA 15,BUN 14.1mmol/L, Creat 79umol/L. US: Cornell Indx LVd=1.46(prev2.1), LV septal flattening with diastolic dip,LAAO=2.47,Evel1.45m/s, TVregPG-68mmHg,HV distension-mod ascites.LV and LA underloading via diuretics and PHT (mild PHT past).PHT more pre vs post cap based on small LVsize? Consider Sildenafil/L Arg.Concerned about developing L CHF.Is CHF less likely adding PDE5i with MVD/PHT in underloaded LV than same scenario with vol overloaded LV at similar staging. MVPG=120.3mmHg







Comments
My bad! The TV regurge CW Jpeg submitted was mislabeled as MV E vel and its pressure gradient. Sorry for any confucion.
Dan, considering the LAE in addition to LV underloading – does this dog have mitral stenosis?? As you suggested, with this degree of LAE I would expect LVE as well….
Peter
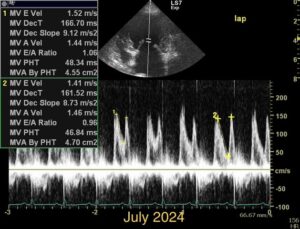
Thanks. Not sure if any sig. MV stenosis?? My experience limited.3 PWD from diff times. Ls7 vid. is from 2024,initially thinking reverse remodelling where the lasix lowering preload and Pimo is decreasing LV size via decreased resist/increase cxn while LA no change because it’s a chronic filled remodeled saggy bag receiving Regurge volume??
Dan, I think you are right. And neiter can I see and MS here.
Re your concern of left sided CHF when adding Sildenafil is correct. I usually give it if the dog is symptomatic (collapse, weakness, ascites) and start at a low dose. The owners are required to montor SRR and increase diuretics if needed. If the dog has signs of airway disease, I usually add Theophylline as well.
Peter
Thanks so much!!
This little fellow has always been a bit of an enigma.
stromectol tablets canada
stromectol tablets canada
zithromax 500
zithromax 500
antibiotics for pneumonia
antibiotics for pneumonia
doxycycline hyclate 100mg for acne
doxycycline hyclate 100mg for acne
tadalafil penile rehabilitation
tadalafil penile rehabilitation
xenical generic orlistat
xenical generic orlistat
avanafil price philippines
avanafil price philippines
super vidalista 20 mg
super vidalista 20 mg