– 10 year old MN Collie cross with vomiting, anorexia and weight loss
– history of severe arthritis and currently on Previcox and tramadol for pain
– bloodwork normal other than an abnormal cPLI test
– x-rays suspicious of an intra-abdominal mass ventral and caudal to the stomach displacing it cranially
– large, diffuse soft mass also noted subcutanously on R side of the abdomen
– 10 year old MN Collie cross with vomiting, anorexia and weight loss
– history of severe arthritis and currently on Previcox and tramadol for pain
– bloodwork normal other than an abnormal cPLI test
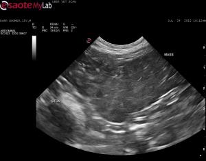
– x-rays suspicious of an intra-abdominal mass ventral and caudal to the stomach displacing it cranially
– large, diffuse soft mass also noted subcutanously on R side of the abdomen
-u/s showed a well-encapsulated mass that was hyperechoic to the surrounding tissue with a course echotexture; it was impossible to determine if the mass was connected to the one noted subcutanously; no other abnormalities detected – no evidence of pancreatitis but this may be pressing on the pancreas causing the positive cPLI
– FNA’s and in house analysis compatible with a lipoma
Sonographically is this compatible with a lipoma? I guess an infiltrative lipoma or liposarcoma are also rule-outs.

Comments
This looks like lipoma and
This looks like lipoma and derives form the body wall and bordered by the peritoneum and the viscera moves separately.