Degenerative valve disease, stage B1, in a geriatric Pit Bull Terrier Dog, compensated mitral and tricuspid insufficiency

Case Study

Degenerative valve disease, stage B1, in a geriatric Pit Bull Terrier Dog, compensated mitral and tricuspid insufficiency

A 10-year-old NM Pit bull terrier was presented for follow up examination as a previous echocardiogram had shown thickened mitral valves. Currently there were no clinical signs. the physical exam revealed a III/VI left sided heart murmur in the mitral region.

A 10-year-old NM Pit bull terrier was presented for follow up examination as a previous echocardiogram had shown thickened mitral valves. Currently there were no clinical signs. the physical exam revealed a III/VI left sided heart murmur in the mitral region.

Sonographic Differential Diagnosis

This is a case of moderate degenerative valve disease (DVD) affecting both AV-valves and causing mild mitral insufficiency. The left atrium is mildly enlarged and has increased very slightly in size since the last study (now 3.3 cm, previously 3.1 cm).

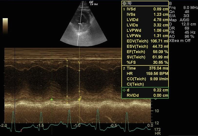
Image Interpretation

This patient has a slightly volume loaded left ventricle, a mildly enlarged left atrium, and a normal right ventricle and atrium. The mitral valve leaflets are moderately thickened but there is no significant prolapse noted. The tricuspid valve leaflets are slightly thickened as well. There is mild mitral insufficiency and very slight tricuspid insufficiency on CDI.

DX

DVD both AV valves. Mild MI. Slight LAE. Compensated stage b1 valvular disease.

Outcome

No therapy is indicated. The patient should be rechecked every 6-9 months.

Clinical Differential Diagnosis

Stable mitral valve endocardiosis, progressive endocardiosis

UA PH

.

UA PH

.

Patient Information

Patient Name : Jackie H
Gender : Male, Neutered
Species : Canine
Type of Imaging : Ultrasound
Status : Complete
Liz Wuz Here : Yes
Code : 15_00109

Exam Finding

  • Heart Murmur

Images

15_00109_LAAO_02_0304201206554115_00109_mmode_01_0304201206560615_00109_MRdopp_03_03042012065657
Skip to content