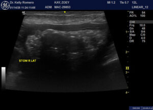
9 year old FS Shepherd cross losing weight, intermittent vomiting, diarrhea that has been worsening now with blood. Do you think these structures in the stomach lumen could be polyps? So far, planning to recommend endoscopy.
Looks like a rubber ball to me but ensure no pill pockets given as they look like this too. If its persistent at npo in followup scan i would cut or scope
Thank you, Eric. It didn’t seem to move in different positions, but the dog is not fully fasted and maybe it is sticking to the wall. Any concerns about the homogenous structure in the body lumen?
Comments
Looks like a rubber ball to me but ensure no pill pockets given as they look like this too. If its persistent at npo in followup scan i would cut or scope
Thank you, Eric. It didn’t seem to move in different positions, but the dog is not fully fasted and maybe it is sticking to the wall. Any concerns about the homogenous structure in the body lumen?
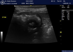
Follow up ultrasound – the stomach was empty. Assuming some kind of foreign material that passed
medication metoprolol
medication metoprolol
levitra medication
levitra medication
diflucan generic
diflucan generic
lasix water pill generic
lasix water pill generic
lasix diuretico
lasix diuretico
is cenforce 200 safe
is cenforce 200 safe
tadalafil 20mg photo
tadalafil 20mg photo
sildenafil pills online
sildenafil pills online