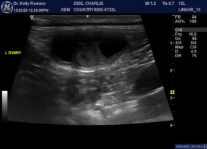
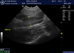
8 month old FI Golden with no clinical symptoms. pcDVM did wellness blood work one week ago- WBC was 35,000 with all cell lines elevated. Two weeks ago, owners notes some vaginal bleeding (mild). One week ago (when blood work run), vaginal discharge became more clear (still mild) and behaviorally, the male neutered dog in the house became interested and the female is receptive. Only findings I am wondering about were both ovaries appear to have active follicles (was expecting that in just one) and quite plump mes. lns. VIN search=not normal to have elevated WBC during estrus. Thoughts?



Comments
Looks like cystic ovaries and early pyometra to me and juvenile or reactive LN. OVH if not intended for breeding.
Hi Erick, thank you. – For the pyo portion, are you concerned about the luminal echogenicity in the uterine body moreso than the horns?
fluconazole over the counter australia
fluconazole over the counter australia
buy zoloft
buy zoloft
augmentin 875
augmentin 875
fluconazole for yeast infection otc
fluconazole for yeast infection otc
clozaril
clozaril
cialis pill number
cialis pill number
vidalista 10mg reviews
vidalista 10mg reviews
cenforce uses
cenforce uses
sildenafil pills online
sildenafil pills online
imodium alcohol diarrhea
imodium alcohol diarrhea