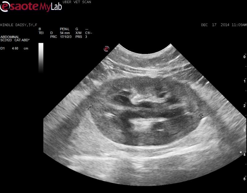
– 5 yr old FS indoor DSH presented for decreased appetite and vomiting
– owner’s thought her abdomen was painful
– $$ limited so went right to ultrasound
– both kidneys mildly enlarged, surrounded by ill-defined, bright hyperechoic fat and mild pylectasia
– a trace amount of subcapsular fluid noted around the right kidney at the caudal pole (second clip shows this)
– rest of u/s unremarkable
Possible acute renal failure – toxic, infectious (pyelonephritis), neoplasia would be much lower on my list
Any other thoughts?
– 5 yr old FS indoor DSH presented for decreased appetite and vomiting
– owner’s thought her abdomen was painful
– $$ limited so went right to ultrasound
– both kidneys mildly enlarged, surrounded by ill-defined, bright hyperechoic fat and mild pylectasia
– a trace amount of subcapsular fluid noted around the right kidney at the caudal pole (second clip shows this)
– rest of u/s unremarkable
Possible acute renal failure – toxic, infectious (pyelonephritis), neoplasia would be much lower on my list
Any other thoughts?


Comments
Yep those are painful
Yep those are painful just looking at them with all that inflamed peripheral fat. Acute nephritis/pyelonephritis, infectious, toxin, FIP, Early lsa can look like this especially on your second clip.
$ case?? I’m getting a 25 g needle into the cortex of the kidney in the second clip and looking for mixed population (nephritis… also FIP will be mixed but granulomatous but I can;t tell the difference wiht my cyto skills) vs monopopulation of lymphoma cells. If no lsa then tx for ARF/nephpritis 72 hours and see where you go. maybe cover for toxo.. baytril clindamycin my shotgun choice here.
Yep those are painful
Yep those are painful just looking at them with all that inflamed peripheral fat. Acute nephritis/pyelonephritis, infectious, toxin, FIP, Early lsa can look like this especially on your second clip.
$ case?? I’m getting a 25 g needle into the cortex of the kidney in the second clip and looking for mixed population (nephritis… also FIP will be mixed but granulomatous but I can;t tell the difference wiht my cyto skills) vs monopopulation of lymphoma cells. If no lsa then tx for ARF/nephpritis 72 hours and see where you go. maybe cover for toxo.. baytril clindamycin my shotgun choice here.
Couple of questions
1. The
Couple of questions
1. The capsule also looks very irregular. Does this help sort out the pathology?
2. I have never aspirated a renal cortex. How painful is this and do you need to sedate the cat?
Couple of questions
1. The
Couple of questions
1. The capsule also looks very irregular. Does this help sort out the pathology?
2. I have never aspirated a renal cortex. How painful is this and do you need to sedate the cat?
Any needle just sedation
Any needle just sedation stage 2 to level of placing an endotracheal tube is the rule of thumb I use. I like 25g because they barely feel it and it minimizes blood artifact and these kidneys will give blood artifact. The cortex is against the body wall so its an easy shot 2 cm or less away. Place thumb pressure through the body wall onto the sample site for a minute or 2 post stick. Run a coag if moribund but I usually don;t but as JP said I wear a cowboy hat with a needle in hand:)
The reality is with proper technique its very very tough to kill anything with a 22g but especially a 25g needle. Core bx a little more problematic.
Any needle just sedation
Any needle just sedation stage 2 to level of placing an endotracheal tube is the rule of thumb I use. I like 25g because they barely feel it and it minimizes blood artifact and these kidneys will give blood artifact. The cortex is against the body wall so its an easy shot 2 cm or less away. Place thumb pressure through the body wall onto the sample site for a minute or 2 post stick. Run a coag if moribund but I usually don;t but as JP said I wear a cowboy hat with a needle in hand:)
The reality is with proper technique its very very tough to kill anything with a 22g but especially a 25g needle. Core bx a little more problematic.