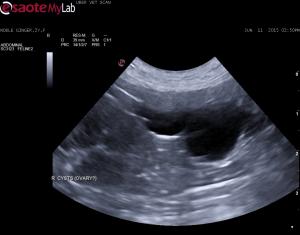
– adult cat with intermittent history of vaginal discharge and hematuria; was found as a stray so age unknown
– has shown two episodes of in heat behaviour in the last year
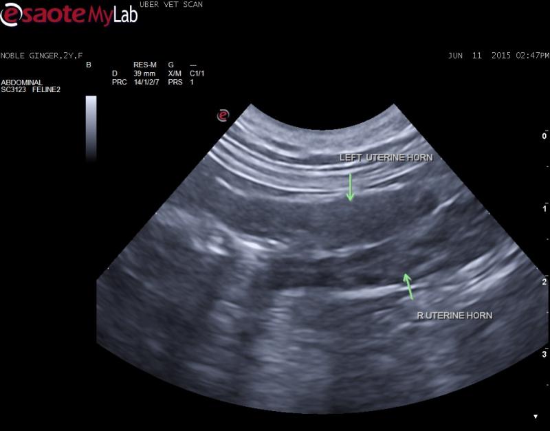
– u/s found no evidence of pyometra however the uterus is clearly visible, hypoechoic and one of the horns has a heterogenous appearance
– there are bilateral ovarian cysts (I am assuming this due to their location caudal and lateral to both kidneys)
– urinary bladder has a large amount of gravity dependent hyperechoic debris present (moves upon repositioning the patient)
– adult cat with intermittent history of vaginal discharge and hematuria; was found as a stray so age unknown
– has shown two episodes of in heat behaviour in the last year
– u/s found no evidence of pyometra however the uterus is clearly visible, hypoechoic and one of the horns has a heterogenous appearance
– there are bilateral ovarian cysts (I am assuming this due to their location caudal and lateral to both kidneys)
– urinary bladder has a large amount of gravity dependent hyperechoic debris present (moves upon repositioning the patient)
– UA and urine culture pending
I have scanned very few intact cats and have not found a ton of reference material on feline ovarian/uterine disease. My differentials would be a normal uterus in an in heat cat vs cystic endometrial hyperplasia (CEH) and early uterine infection. The ovarian cysts may be incidental or follicular. I did read that follicular cysts are asscociated with CEH. I have recommended ovariohysterectomy. Any thoughts?



Comments
Hi
In my experience heat in
Hi
In my experience heat in cats doesn’t produce such large cysts in the ovaries, so they can be pathological (we really cannot trully diferenciate, folicular, luteinic or non secreting cyst). Uterine pathology is usually associated with progesterone secreting cysts.
I agree uterus is slightly inlarged and heterogeneous, with vaginal discharge I would put endometritis as my main DD, as in estrus they don’t bleed. CEH unlikely, if you you don’t see any cysts. You might be able to manage it medically if it was a breeding cat, but fur sure OVH is the best option long term.
Cheers
Great information. Thank-you!
Great information. Thank-you!
Great information. Thank-you!
Great information. Thank-you!
yes ovarian cysts and uterus
yes ovarian cysts and uterus is a bit thick but will do this if approaching or heading out of a heat cycle. Spay away:)
Spay is scheduled – hopefully
Spay is scheduled – hopefully rDVM will send me some pictures