Wet-form FIP in a febrile 6 month old FS DSH cat

Case Study

Wet-form FIP in a febrile 6 month old FS DSH cat

A 6-month-old FS DSH was presented for not doing well. The patient was pyrexic and had slightly pale mucous membranes. Blood chemistry revealed a high AST enzyme activity, hypoalbuminemia, hyperbilirubinemia, low BUN, low creatinine, hyperkalemia, hyponatremia, and a low NA/K ratio. No abnormalities were noted on the CBC. FeLV/FIV was negative. Patient was admitted to hospital for further diagnostics, oral antibiotics, and nursing care. The cat was still pyrexic the next day and the abdominal palpation was considered abnormal (an irregular feeling abdomen.)

A 6-month-old FS DSH was presented for not doing well. The patient was pyrexic and had slightly pale mucous membranes. Blood chemistry revealed a high AST enzyme activity, hypoalbuminemia, hyperbilirubinemia, low BUN, low creatinine, hyperkalemia, hyponatremia, and a low NA/K ratio. No abnormalities were noted on the CBC. FeLV/FIV was negative. Patient was admitted to hospital for further diagnostics, oral antibiotics, and nursing care. The cat was still pyrexic the next day and the abdominal palpation was considered abnormal (an irregular feeling abdomen.)

Sonographic Differential Diagnosis

Highly suggestive for FIP wet form.

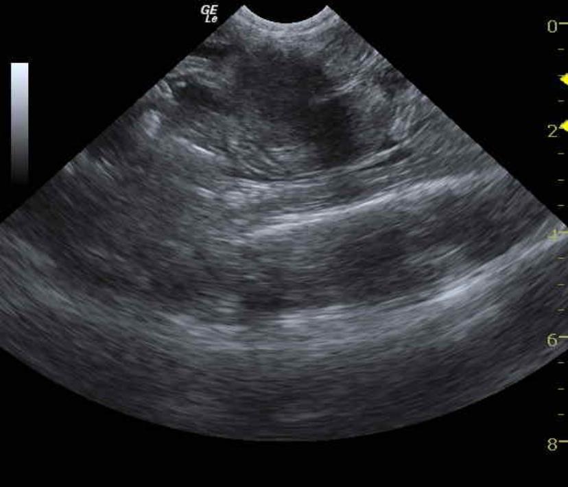
Image Interpretation

The abdomen in this patient presented a mild amount of echogenic fluid. Aggressive medullary rim sign was present in the kidneys suggestive of FIP or emerging lymphoma. Mesenteric root lymphadenopathy was also noted and dramatically hypoechoic.

DX

Modified transudate; suspicious of FIP.

Outcome

Recheck blood chemistry revealed high AST enzyme activity, hypoalbuminemia, hyperbilirubinemia, low BUN, low creatinine, hyperkalemia, hyponatremia, hypocalcemia, and hypochloremia. The CBC showed a hypochromic anemia, a leukocytosis consisting of elevated numbers of segmented neutrophils and a monocytosis. Mild toxic changes were present in the neutrophils. A lymphopenia, eosinopenia, and thrombocytopenia were also present. The kitten’s abdomen became more distended the next day and a second abdominocentesis was performed. Regardless of treatment with antibiotics and subcutaneous fluids, the fever persisted, and the abdominal effusion continued to accumulate very rapidly. The patient never improved and was euthanized soon after. Postmortem biopsies were taken of the omentum, liver, and lymph node and found marked, chronic, pyogranulotamous and lymphoplasmacytic necrotizing inflammation of all specimens. All findings were consistent with a diagnosis of FIP.

Clinical Differential Diagnosis

Feline infectious peritonitis (FIP), GI parasitism and possible secondary obstruction, early panleukopenia (too soon to observe the neutropenia on the CBC).

Sampling

US-guided FNA of abdominal fluid.

Patient Information

Patient Name : 11_00005
Gender : Female, Spayed
Species : Feline
Type of Imaging : Ultrasound
Status : Complete
Liz Wuz Here : Yes
Code : Lady H

Clinical Signs

  • "Not Doing Right"

Exam Finding

  • Fever
  • Pale Mucous Membranes

Images

MesentericrootLymphadenopathyMedullaryRimSign

Blood Chemistry

  • Albumin, Low
  • AST (SGOT), High
  • BUN low
  • Potassium, High
  • Sodium, Low
  • Sodium/Potassium ratio, Low
  • Total Bilirubin, High

Clinical Signs

  • "Not Doing Right"

Special Testing

  • FIP Positive
Skip to content