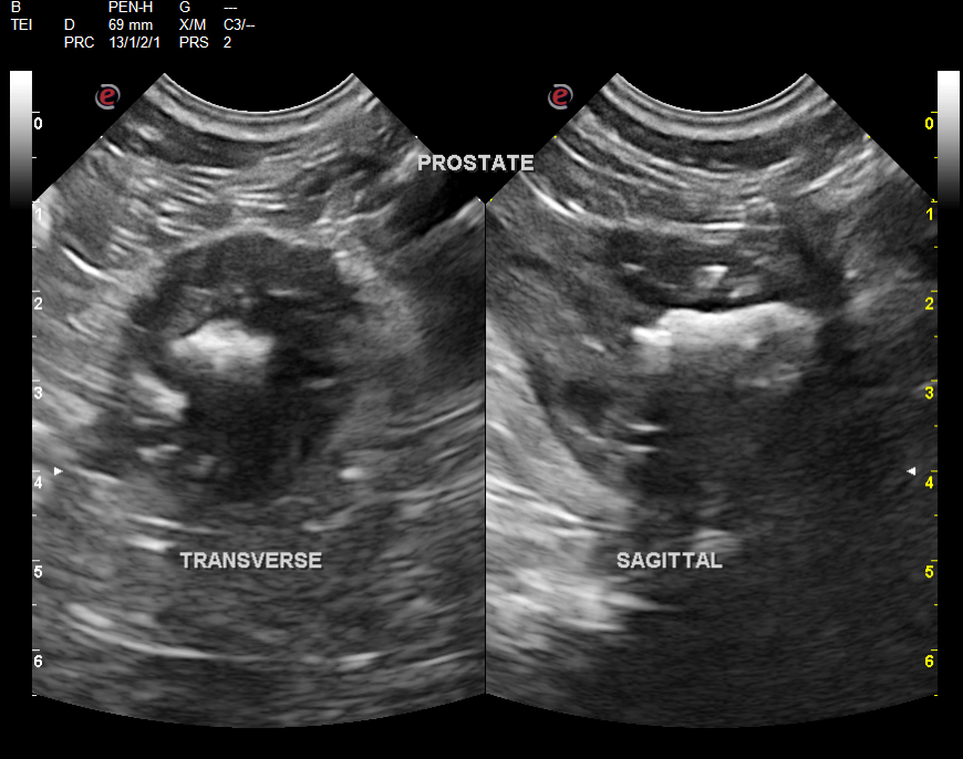
A 9-year-old neutered male Cocker Spaniel dog with a history of chronic diarrhea was presented for evaluation of recent onset hematuria. Prostatomegaly was present on rectal palpation. On survey radiographs, uroliths and narrowing of the distal colon at the pelvic inlet were evident.
A 9-year-old neutered male Cocker Spaniel dog with a history of chronic diarrhea was presented for evaluation of recent onset hematuria. Prostatomegaly was present on rectal palpation. On survey radiographs, uroliths and narrowing of the distal colon at the pelvic inlet were evident.


