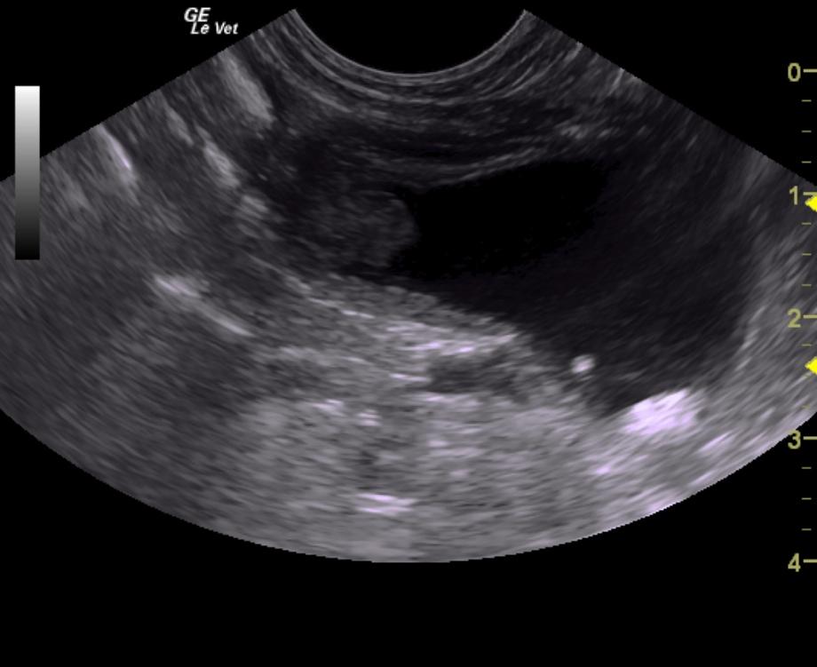
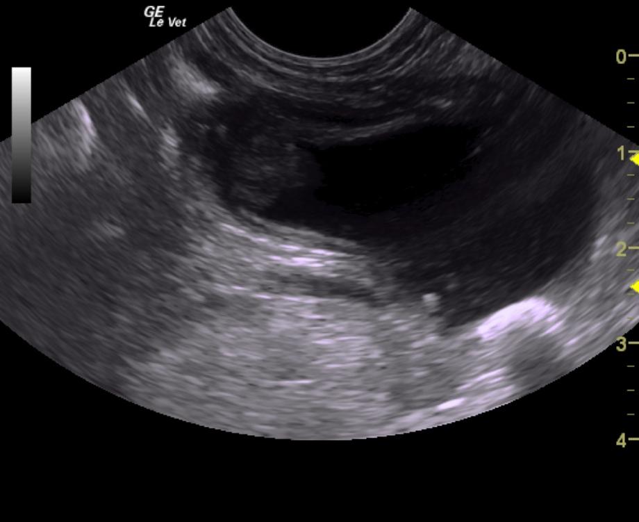
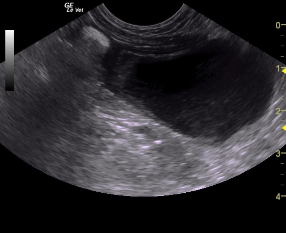
A 14-year-old neutered male Poodle dog was presented for evaluation of chronic hematuria with a history of calcium oxalate calculi and evidence of urinary tract infection.
A 14-year-old neutered male Poodle dog was presented for evaluation of chronic hematuria with a history of calcium oxalate calculi and evidence of urinary tract infection.


