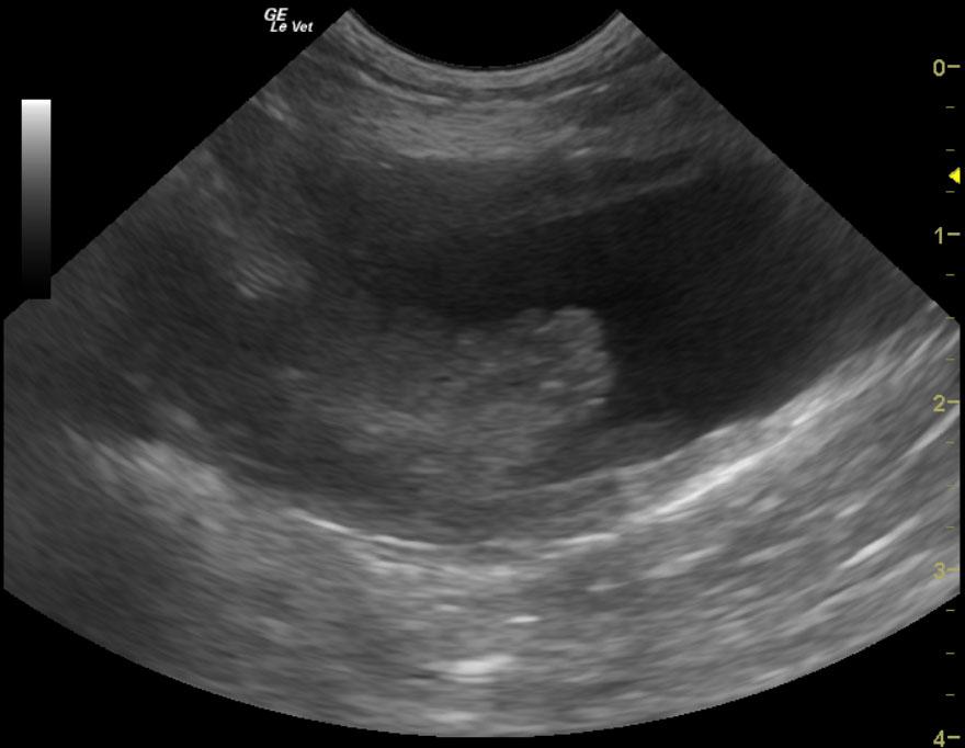
A 10-year-old neutered male West Highland Terrier was presented for hematuria. The only finding on physical examination was a soft cardiac murmur. Abnormalities on urinalysis were 1+ bilirubin and trace blood.
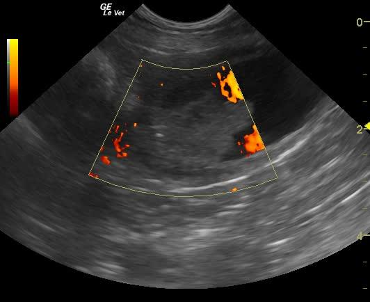
A 10-year-old neutered male West Highland Terrier was presented for hematuria. The only finding on physical examination was a soft cardiac murmur. Abnormalities on urinalysis were 1+ bilirubin and trace blood.

