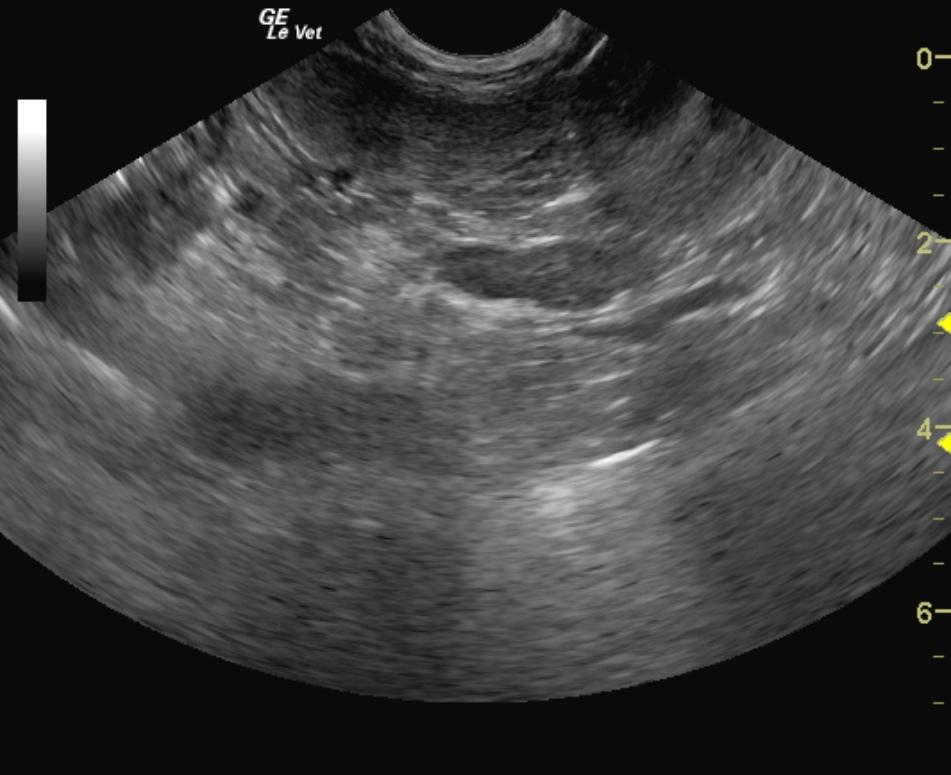
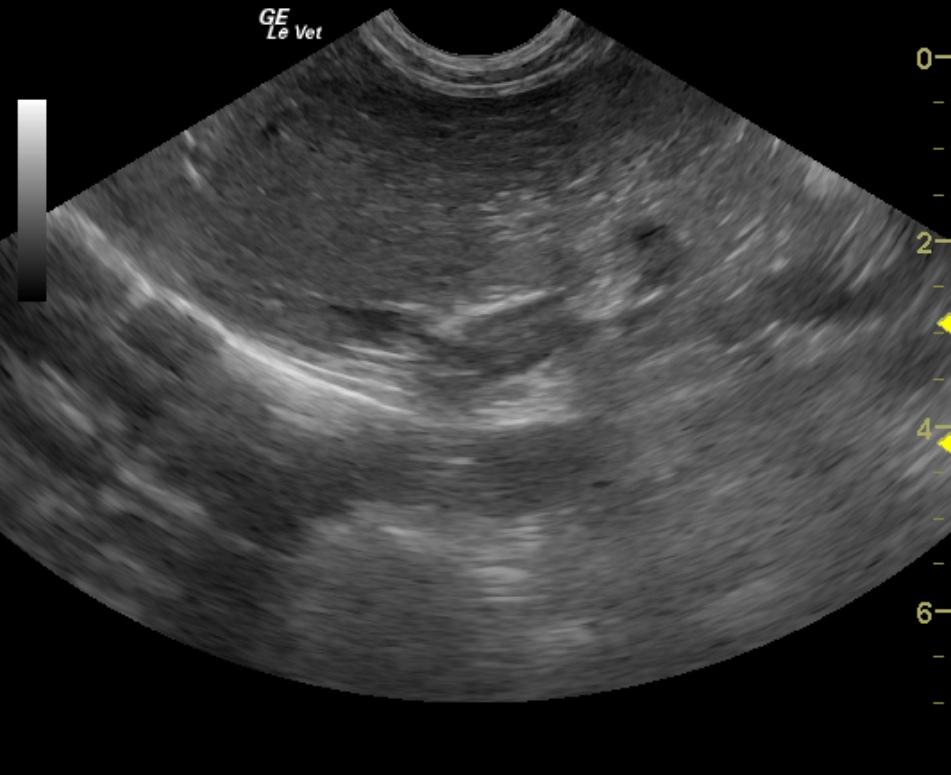
An 11-year-old FS dog was evaluated and presented for alopecia, panting, excessive water drinking, and polyphagia. Urinalysis and CBC were both within normal limits. Abnormalities on blood chemistry were hyperproteinemia, hyperphosphatemia, elevated GGT activity, elevated BUN:creatinine ratio, and hypercalcemia. An ACTH stimulation test was suggestive of hyperadrenocorticism.
An 11-year-old FS dog was evaluated and presented for alopecia, panting, excessive water drinking, and polyphagia. Urinalysis and CBC were both within normal limits. Abnormalities on blood chemistry were hyperproteinemia, hyperphosphatemia, elevated GGT activity, elevated BUN:creatinine ratio, and hypercalcemia. An ACTH stimulation test was suggestive of hyperadrenocorticism.

