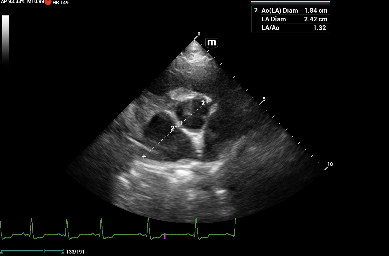
14Kg KCCS Dog; 3/6 murmur placed on Pimo after rads. Echo(3 wks later) revealed mild mod MV reg, TV reg and AO ins. PG – MV and TV=N. AO PG=N with plateau flow profile. Echo = stage B1 MVD, BP= N.Dog was 5 lbs ovweight. C index adj. to 11.7Kg= N.
Improved on pimo (energy and activity)?
Rads before Pimo : VHS=11.78 with a VLAS of 1.74.?
Q: Could Pimo use be + affecting the LV size?
Q: going forward with leaky valves, echo=N but improvement with TX cases ; stop pimo, follow guidelines, monitor at home, echo 3-6 months or maintain pimo based on rads-VHS and noted clinical improvemet



Comments
Sonographically B1 and B2 I go to the atrial septum and ensure its deviated toward the right atrium and not in line wiht the IVS. Your echo the AS is in line wiht the UVS and not deviated and there fore no LAE in this case. I use the LA max measurement and ensure there is a solid MR jet and not a small one. I dont have rads available in many of my interps so from the sonographer perspective this tends to work well. If pimo other tx has been given and the LA is normal and you dont know if the LA is normal because of tx or its normal because it didnt need it, then I go to the level of MR because the MR has to have. alarge regurguitant flow to eventually cause LA enlargement. Then of course checking rads to see if they misinterpreted the rads as LAE which happens a lot. Otherwise stop the pimo for a week and rescan and see what the lA is doing. If just B2 they should be good wihtout tx for a week to find out if the tx direction is correct. Your case looks very B1. Hope this helps
No LAE on rad, VLAS =1.74,VHS = high normal for a KCCS 11.78. Echo was normal. The heart had a few minor “leaks” , dog was being treated and the owner felt the dogs activity and energy improved on meds. Wasn’t sure if increased quality noted in a B1 dog put on meds would warrant continuation or one should always follow protocol. It’s possible owner subjectivity could be biased too.Will stop meds and observe response.
Tks!!