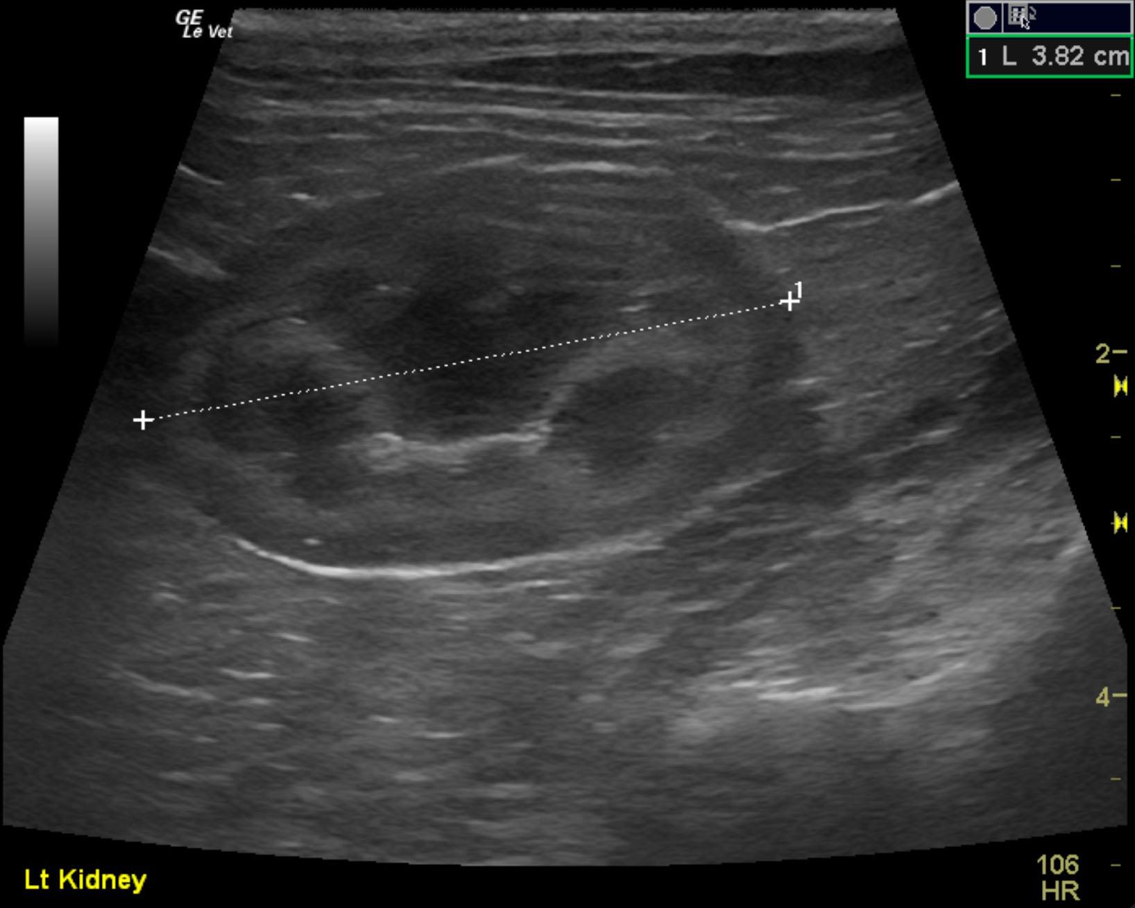
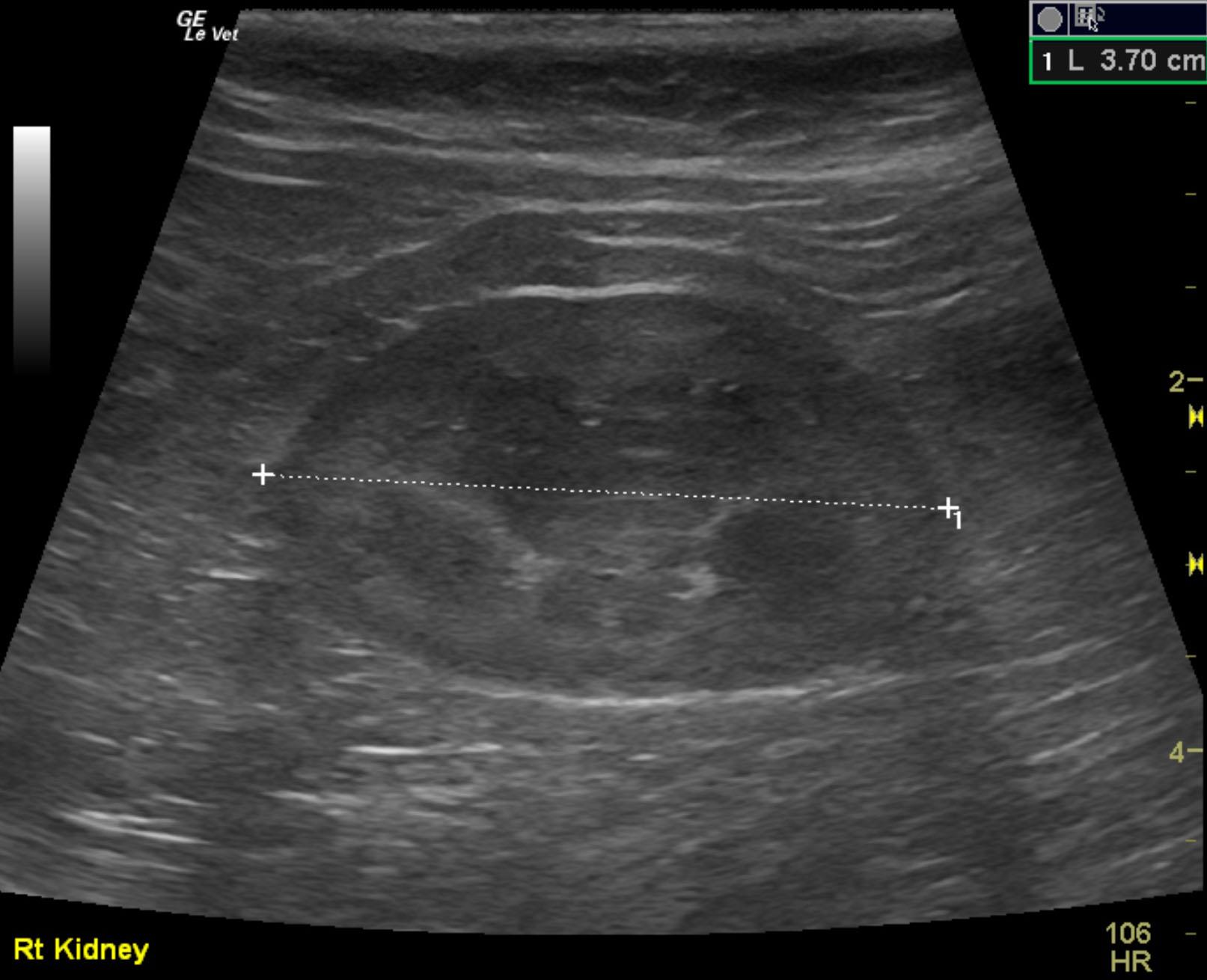
A 2-year-old neutered male DMH cat was presented for urethral obstruction and a possible mass dorsal to the urinary bladder. The cat also had a 5-day duration of diarrhea.
A 2-year-old neutered male DMH cat was presented for urethral obstruction and a possible mass dorsal to the urinary bladder. The cat also had a 5-day duration of diarrhea.


