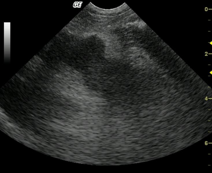
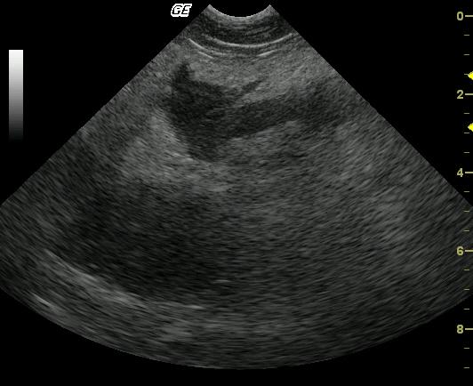
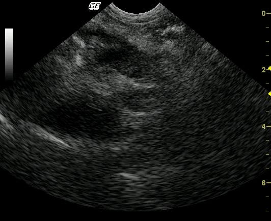
This 6-year-old Maltese presented for diarrhea, poor appetite, and lethargy immediately prior to the sonogram with a history of acute vomiting 2 weeks prior that had resolved without intervention. The patient also presented concurrently with acute anal sacculitis and dermal hot spots. Outpatient therapy with antibiotics proved mildly effective. CBC and blood chemistry analysis demonstrated a normal complete blood count and moderately elevated amylase, moderately elevated lipase, and moderately elevated SAP. Mild hypoalbuminemia was also present initially.
This 6-year-old Maltese presented for diarrhea, poor appetite, and lethargy immediately prior to the sonogram with a history of acute vomiting 2 weeks prior that had resolved without intervention. The patient also presented concurrently with acute anal sacculitis and dermal hot spots. Outpatient therapy with antibiotics proved mildly effective. CBC and blood chemistry analysis demonstrated a normal complete blood count and moderately elevated amylase, moderately elevated lipase, and moderately elevated SAP. Mild hypoalbuminemia was also present initially. A second analysis revealed similar values regarding amylase, lipase, and SAP with new moderately elevated cholesterol and moderately elevated triglycerides and moderate hypoalbuminemia.


