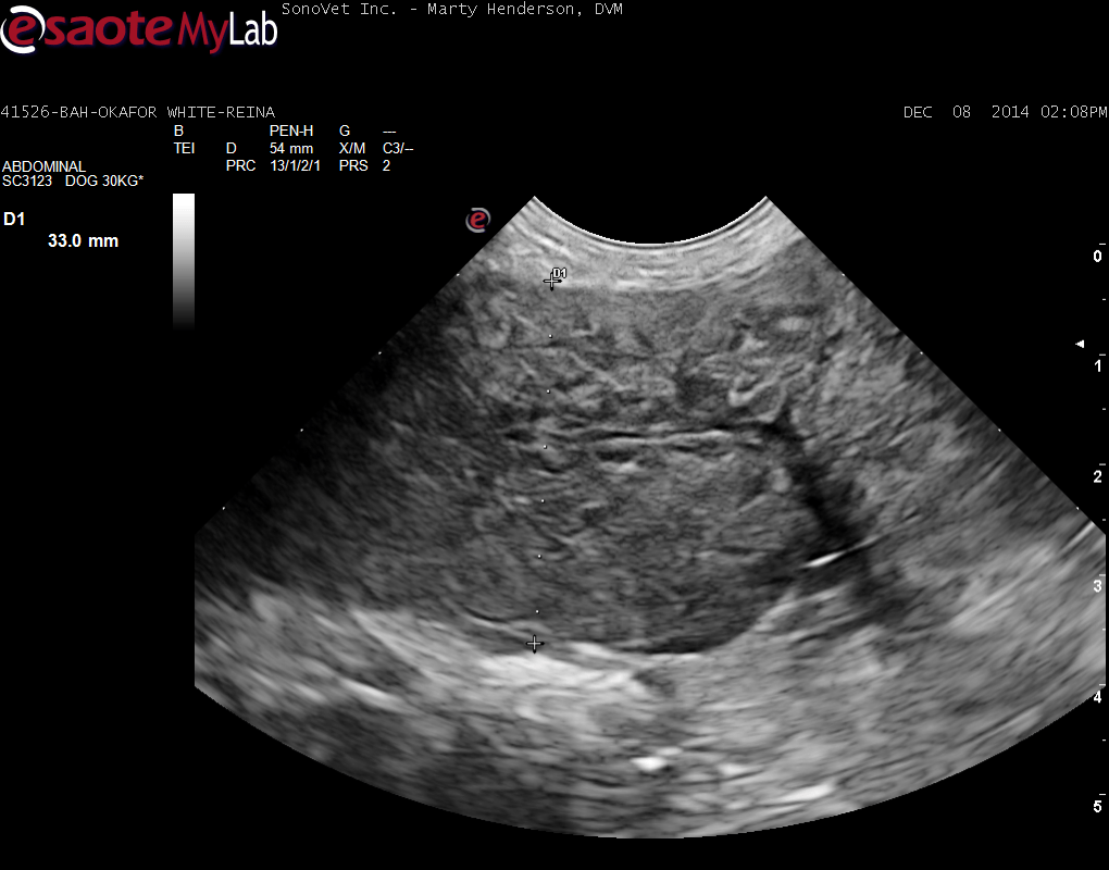
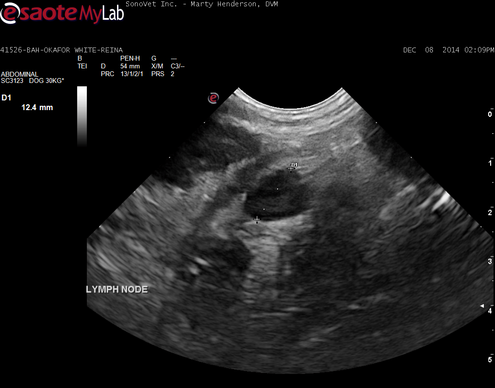
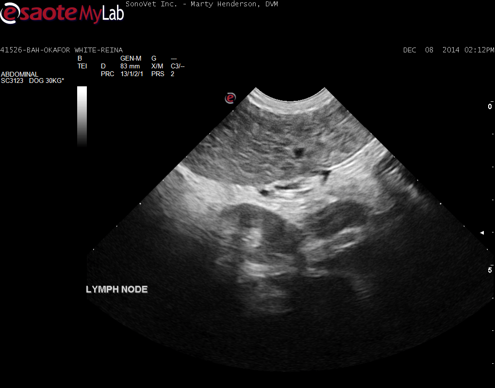
A 6-year-old female Labrador was presented for evaluation of loose stools and weight loss. Abnormalities on serum biochemistry were elevated liver enzyme activity and hypoalbuminemia. On survey thoracic radiographs, a mild interstitial pulmonary pattern was evident.
A 6-year-old female Labrador was presented for evaluation of loose stools and weight loss. Abnormalities on serum biochemistry were elevated liver enzyme activity and hypoalbuminemia. On survey thoracic radiographs, a mild interstitial pulmonary pattern was evident.



