Spindle cell neoplasm of pancreas with metastasis, diagnosed on US-guided FNA, in a 6 year old FS German Shepherd Dog

Case Study

Spindle cell neoplasm of pancreas with metastasis, diagnosed on US-guided FNA, in a 6 year old FS German Shepherd Dog

 A 6-year-old female spayed German Shepherd Dog was presented for evaluation of a possible abdominal mass and weight loss.

 A 6-year-old female spayed German Shepherd Dog was presented for evaluation of a possible abdominal mass and weight loss.

Sonographic Differential Diagnosis

Multicentric neoplasia, likely deriving from the pancreas involving the liver. The kidneys and spleen may also be involved. Carcinoma or sarcoma is suspected.

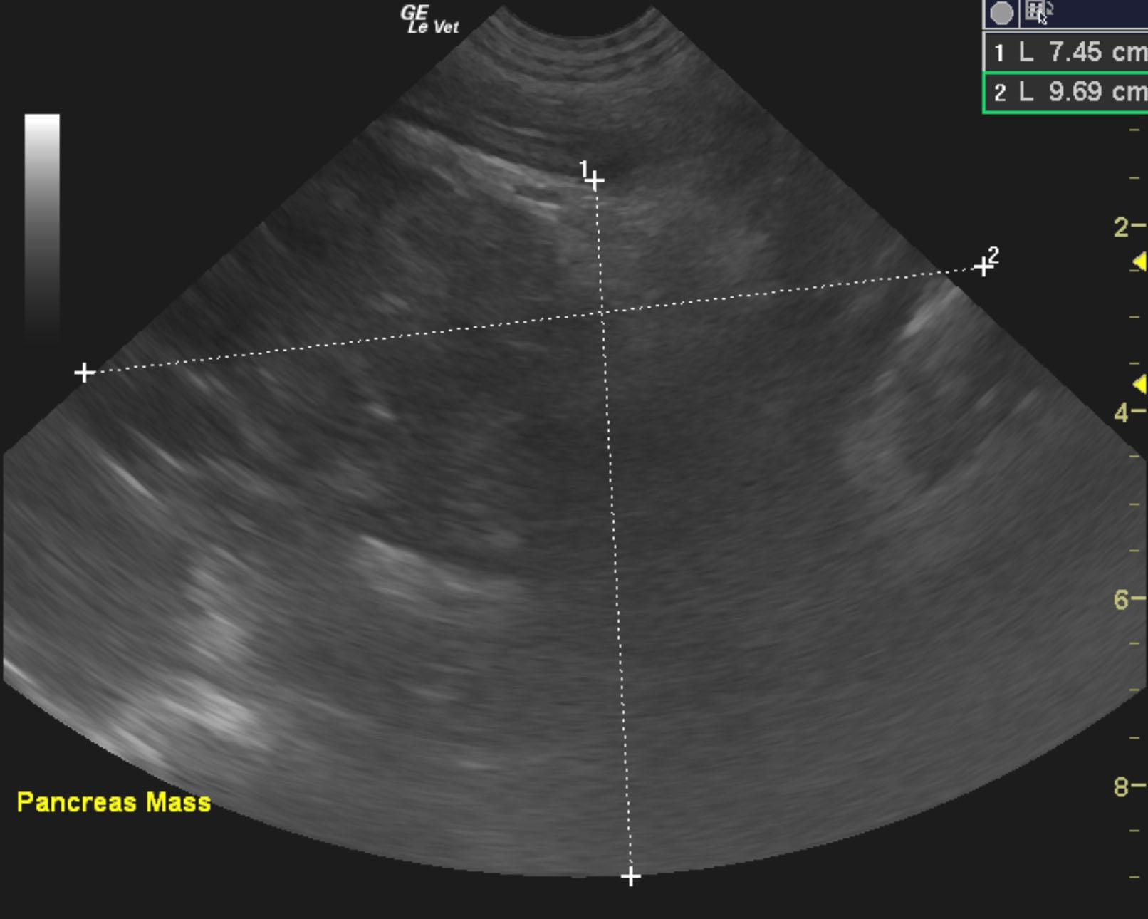
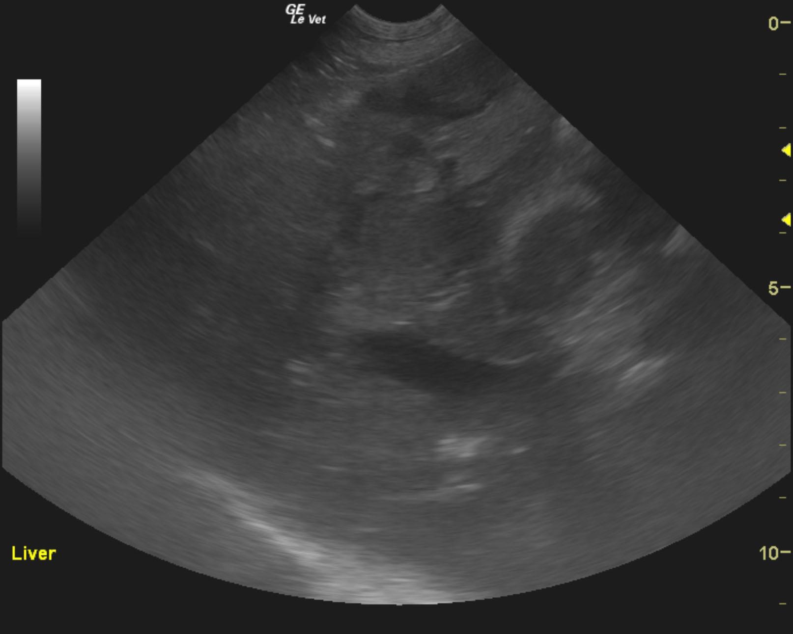
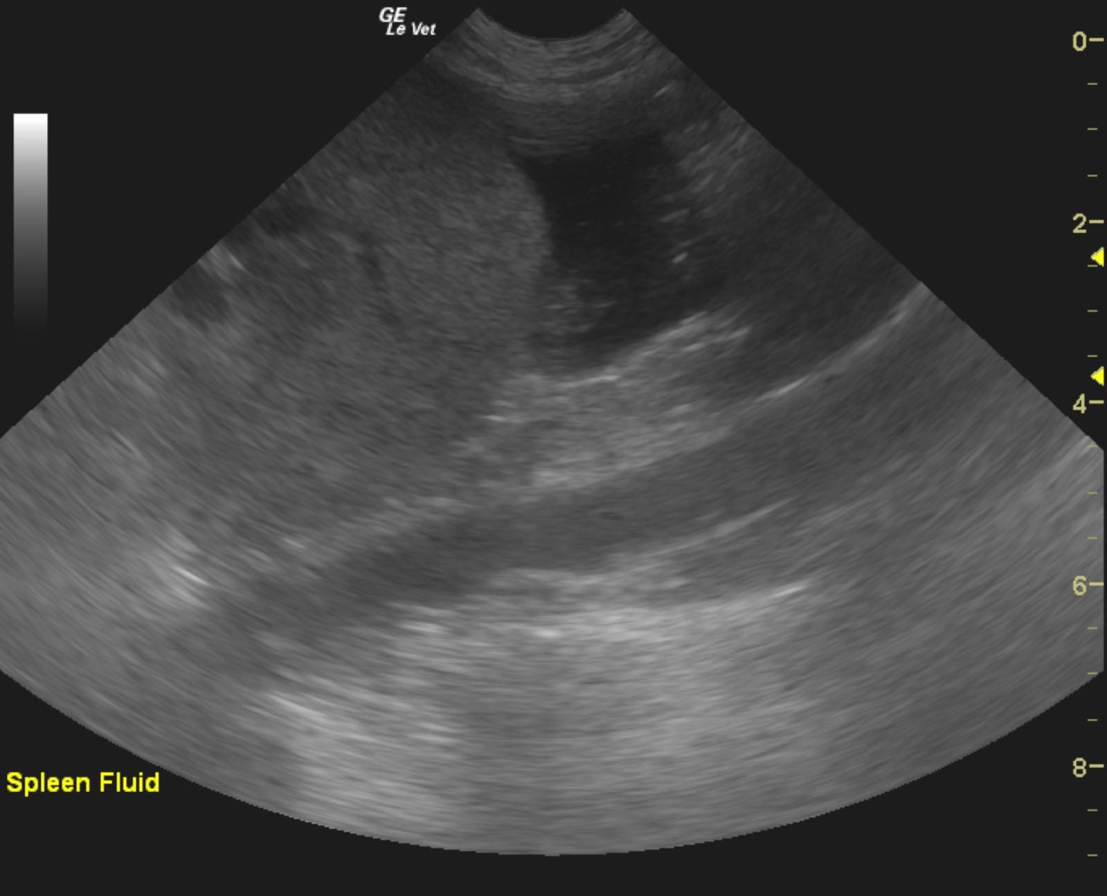
Image Interpretation

The pancreas revealed an extensive 9.7 x 7.5 cm, mixed, hypoechoic mass. The liver and spleen were riddled with multiple hypoechoic expansive nodular masses. Free fluid was noted adjacent to the spleen, which is mildly swollen. The gallbladder was unremarkable. There was also regional lymphadenopathy, with enlarged hepatic, iliac and aortic lymph nodes. Regional inflammation was noted throughout the cranial abdomen.

DX

Metastatic malignant spindle cell tumor

Outcome

None

Clinical Differential Diagnosis

Abdominal mass – neoplasia, abscess, or granuloma of any internal organ system

Sampling

FNA of the liver and pancreas were consistent with malignant spindle cell tumor.

Patient Information

Patient Name : Farrah P
Gender : Female, Spayed
Species : Canine
Type of Imaging : Ultrasound
Status : Complete
Liz Wuz Here : Yes
Code : 05_00159

Clinical Signs

  • Palpable Mass
  • Weight loss

Exam Finding

  • Palpable mass
  • Weight loss

Images

pordan_farrhah_spindle_cell_pancreatic_sarcoma_4pordan_farrhah_spindle_cell_pancreatic_sarcomapordan_farrhah_spindle_cell_pancreatic_sarcoma_ascites

Clinical Signs

  • Palpable Mass
  • Weight loss