Small Intestinal Spindle Cell Sarcoma in a 15 year old FS German Shepherd mix dog

Case Study

Small Intestinal Spindle Cell Sarcoma in a 15 year old FS German Shepherd mix dog

This 15-year-old FS Shepherd cross was presented for abdominal guarding, mild lethargy and partial anorexia. The blood analysis revealed mildly elevated BUN and mildly elevated ALT.

This 15-year-old FS Shepherd cross was presented for abdominal guarding, mild lethargy and partial anorexia. The blood analysis revealed mildly elevated BUN and mildly elevated ALT.

Sonographic Differential Diagnosis

Intestinal neoplasia, complicated inflammatory lesion is less likely.

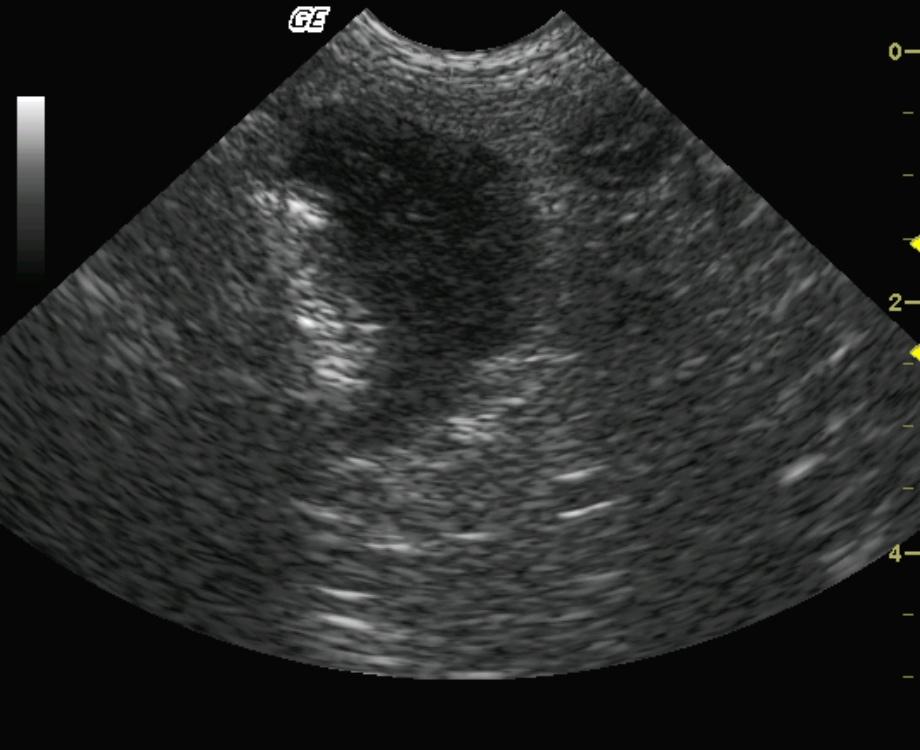
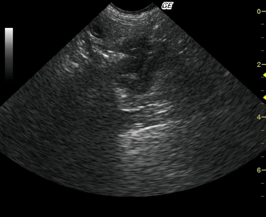
Image Interpretation

Marked, asymmetrical, focal bowel wall thickening is present. Transmural involvement is suspected; however, in certain regions the thickening appears to be involving and potentially arising from the muscularis layer. The peripheral borders of the mass are slightly lobulated; however, the serosal layer appears to be intact supporting encapsulation.

DX

Spindle cell sarcoma of small intestine and cecum

Outcome

The patient responded to surgical resection temporarily with good attitude, appetite, and no significant gastrointestinal symptoms. Explosive melena and anorexia recurred one month post surgery and the patient was euthanized due to the lack of response to treatment. The owner had declined chemotherapy.

Comments

No video is available on this patient.

Clinical Differential Diagnosis

GI pathology – Gastroenteritis, IBD, GI ulceration, gastric neoplasia, chronic non-obstructive foreign body, bowel infarction; pancreatic pathology – pancreatitis

Sampling

US guided biopsy revealed leiomyosarcoma. Surgical resection and biopsy redefined the histopathology as spindle cell sarcoma of the small intestine and cecum.

Patient Information

Patient Name : Whiskers G
Gender : Female, Spayed
Species : Canine
Type of Imaging : Ultrasound
Status : Complete
Liz Wuz Here : Yes
Code : 04_00081

Clinical Signs

  • Anorexia
  • Lethargy
  • Tense Abdomen

Images

04_00081_whiskersgerhold_intmass_06242011103423_0705201111244304_00081_whiskersgerhold_intbx_06242011103536_07052011112434

Blood Chemistry

  • ALT (SGPT), High
  • BUN high

Clinical Signs

  • Anorexia
  • Lethargy
  • Tense Abdomen