Restrictive cardiomyopathy, left sided congestive heart failure, pleural effusion and pericardial effusion in a 18 year old MN DSH cat

Case Study

Restrictive cardiomyopathy, left sided congestive heart failure, pleural effusion and pericardial effusion in a 18 year old MN DSH cat

An 18½-year-old MN DSH cat was presented for evaluation of dyspnea.

Physical exam:  weight loss, poor skin turgor, dyspnea, muffled heart sounds, and decreased lung sounds. On survey thoracic radiographs, pleural effusion was present. 

An 18½-year-old MN DSH cat was presented for evaluation of dyspnea.

Physical exam:  weight loss, poor skin turgor, dyspnea, muffled heart sounds, and decreased lung sounds. On survey thoracic radiographs, pleural effusion was present. 

Sonographic Differential Diagnosis

Restrictive cardiomyopathy.
Left sided congestive heart failure.
Pleural effusion and pericardial effusion.

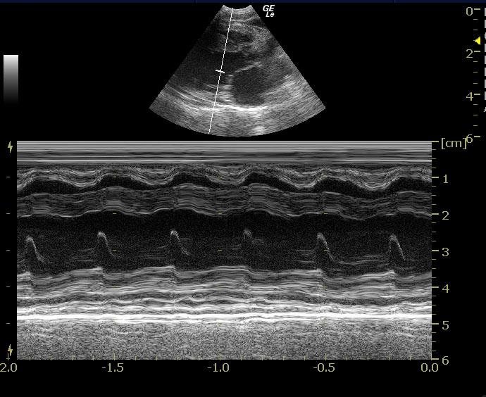
Image Interpretation

The cardiac presentation presented right and left sided overload. Septal and free wall thicknesses were mildly excessive. Mitral insufficiency was noted. Smoke was noted in the left atrium. Pleural effusion was also noted along with slight pericardial effusion. The right atrium was mildly enlarged as well. The left ventricular septum and free wall were stiff. Subnormal contractility was noted. This is most consistent with restrictive cardiomyopathy.

DX

Restrictive cardiomyopathy. Left sided congestive heart failure. Pleural effusion and pericardial effusion.

Clinical Differential Diagnosis

Cardiac – cardiomyopathy, myocarditis, systemic hypertension
Neoplasia
Lung – neoplasia, pneumonia, torsion

Sampling

None

Patient Information

Patient Name : Wallace H
Gender : Male, Neutered
Species : Feline
Type of Imaging : Ultrasound
Status : Complete
Liz Wuz Here : Yes
Code : 15-00206

Clinical Signs

  • Dyspnea

Exam Finding

  • Dehydration
  • Muffled Heart Sounds
  • Weight loss

Images

011410111601560114101116050901141011160515

Clinical Signs

  • Dyspnea
Skip to content