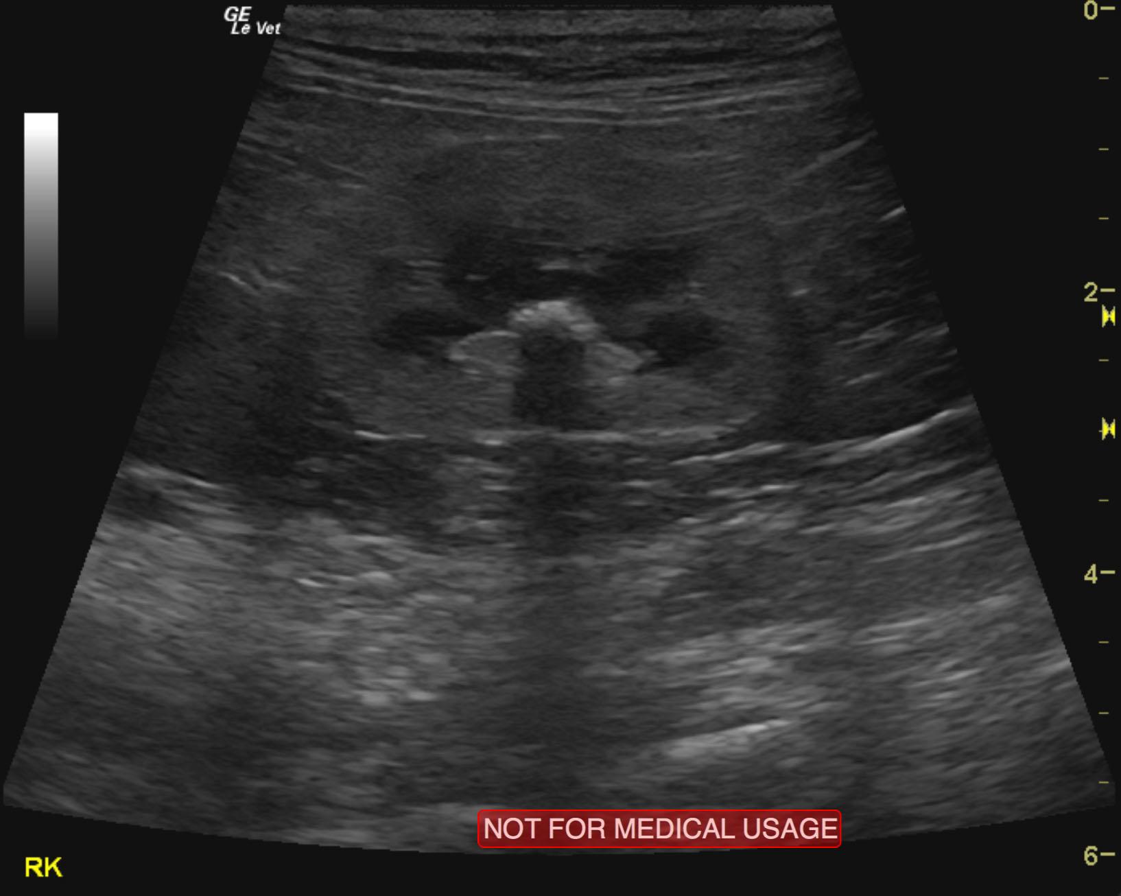
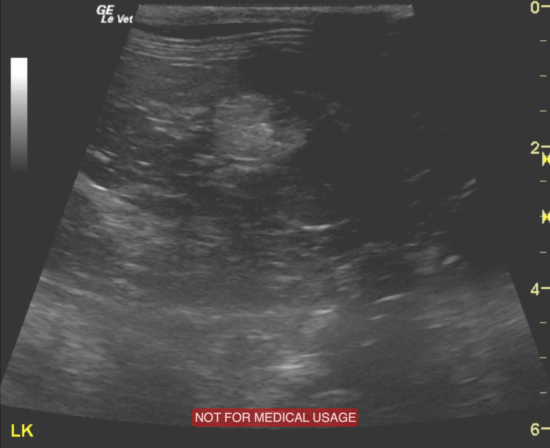
A 5-year-old male neutered DMH cat was presented for evaluation of PU/PD, abnormal behavior, and inappropriate urination (periuria). Low-normal specific gravity (1.014) was evident on urinalysis. CBC was within reference range, but serum biochemistry revealed azotemia.
A 5-year-old male neutered DMH cat was presented for evaluation of PU/PD, abnormal behavior, and inappropriate urination (periuria). Low-normal specific gravity (1.014) was evident on urinalysis. CBC was within reference range, but serum biochemistry revealed azotemia.


