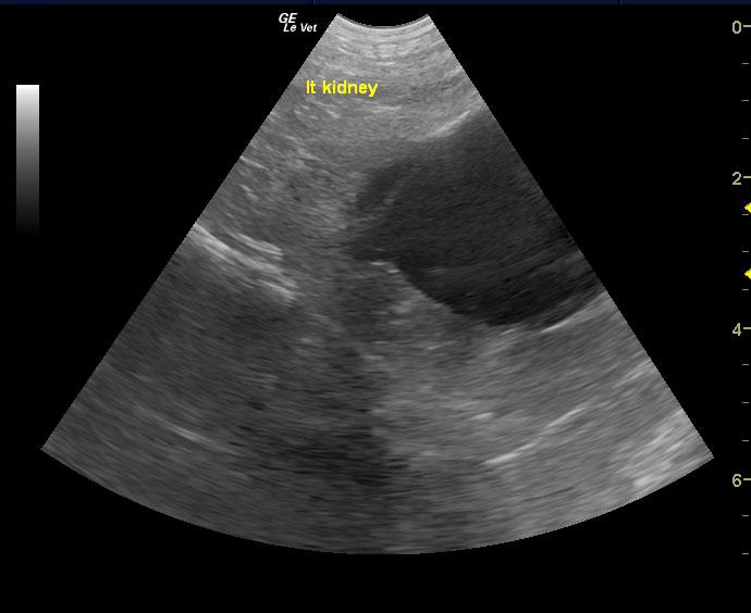
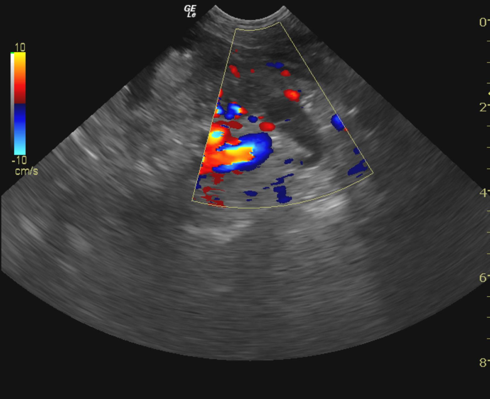
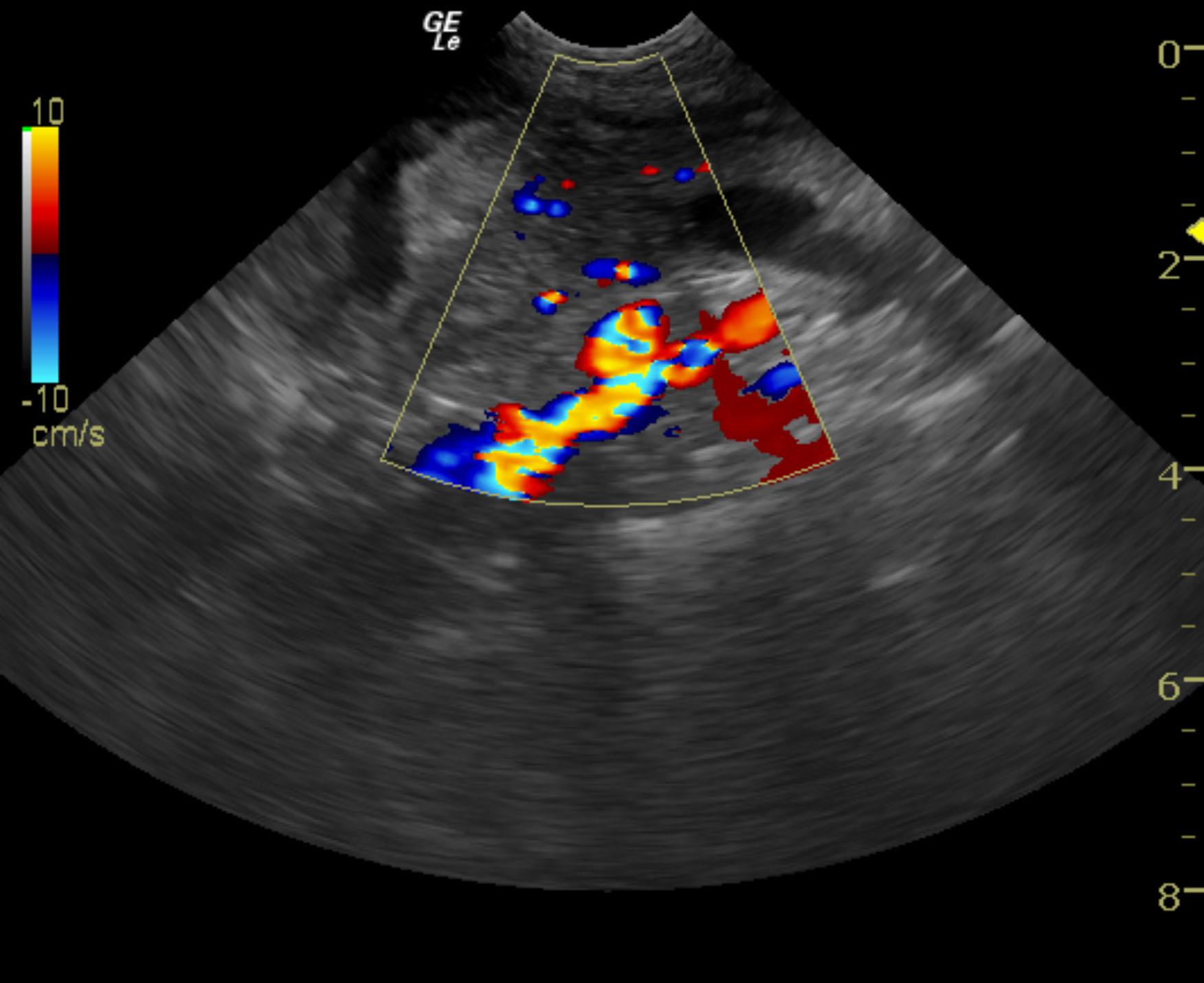
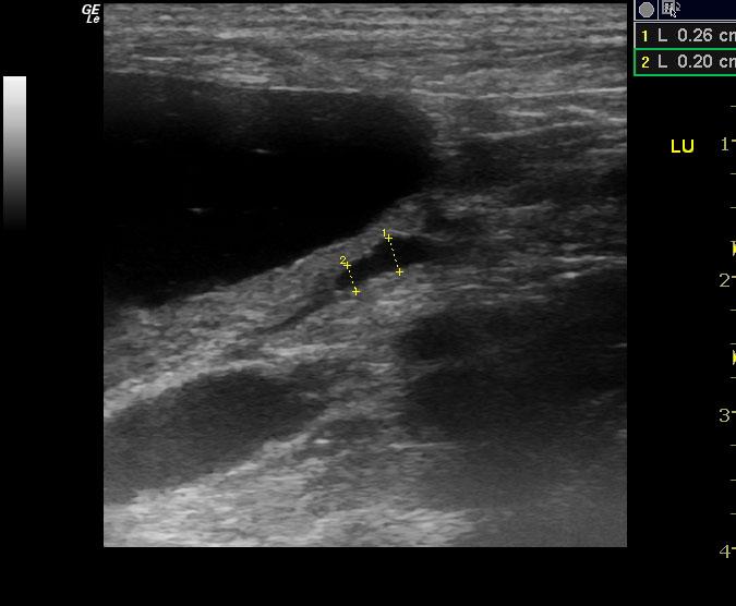
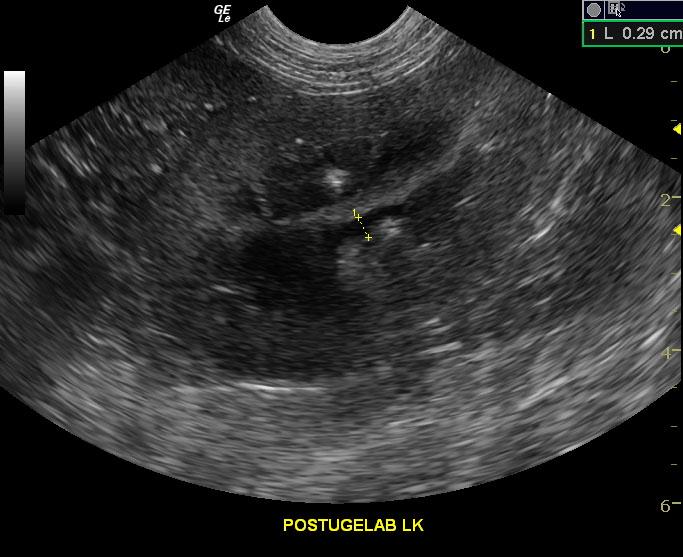
A 10-year-old SF American Eskimo with a history of bladder transitional cell carcinoma that had been stented, chronic renal insufficiency, hydronephrosis, and hydroureter, was presented for evaluation. CBC showed anemia (14%).
A 10-year-old SF American Eskimo with a history of bladder transitional cell carcinoma that had been stented, chronic renal insufficiency, hydronephrosis, and hydroureter, was presented for evaluation. CBC showed anemia (14%).








