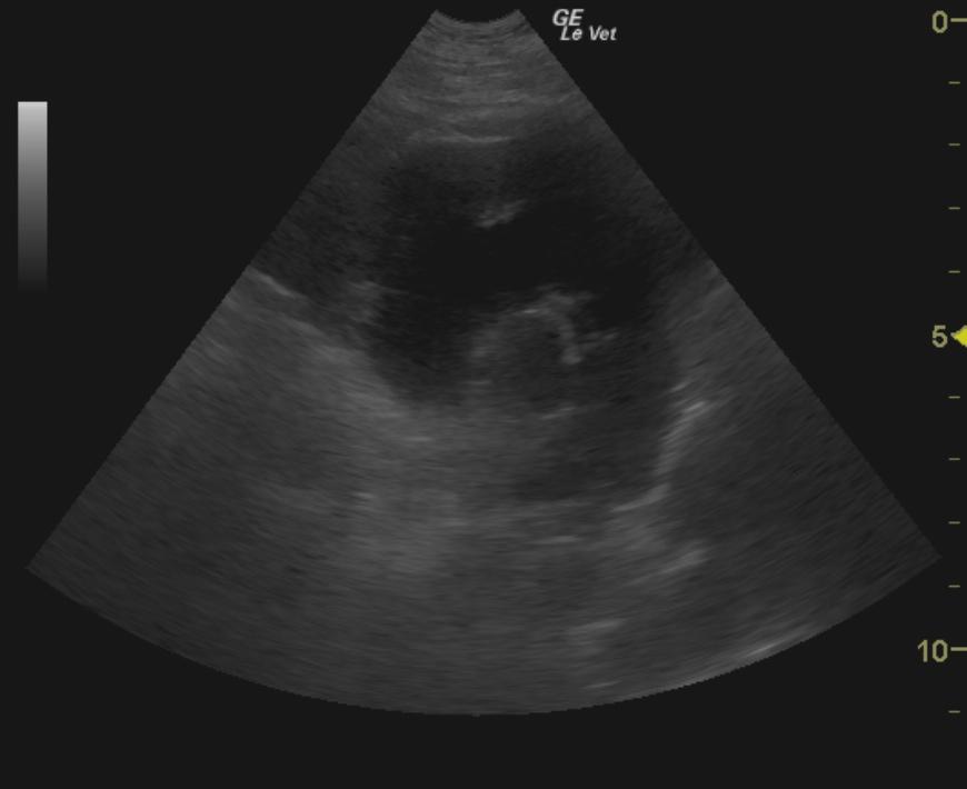
A 10-year-old neutered male Boston Terrier dog was presented for possible seizure activity. A grade II/VI heart murmur and left submandibular lymphadenomegaly were present on physical examination. Abnormalities on CBC and blood chemistry included neutrophilia, eosinopenia, thrombocytosis, elevated ALP activity, and elevated CK. T4 was within normal limits. The patient was treated with enalapril and clindamycin pending ultrasound.
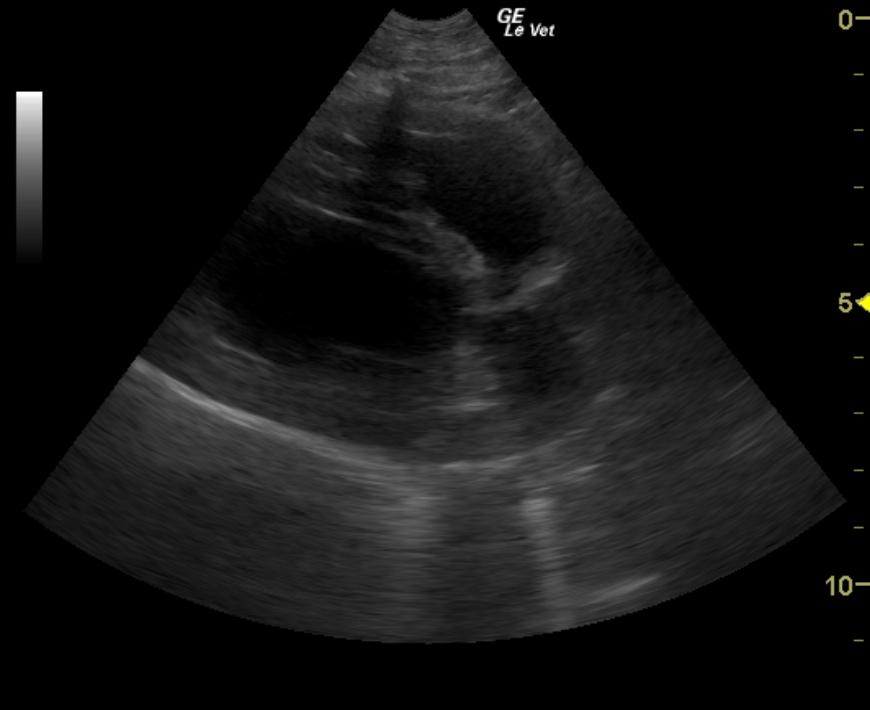
A 10-year-old neutered male Boston Terrier dog was presented for possible seizure activity. A grade II/VI heart murmur and left submandibular lymphadenomegaly were present on physical examination. Abnormalities on CBC and blood chemistry included neutrophilia, eosinopenia, thrombocytosis, elevated ALP activity, and elevated CK. T4 was within normal limits. The patient was treated with enalapril and clindamycin pending ultrasound.




