Prostatic carcinoma confirmed via ultrasound-guided FNA in an 11 year old MN Pomeranian

Case Study

Prostatic carcinoma confirmed via ultrasound-guided FNA in an 11 year old MN Pomeranian

An 11-year-old neutered male Pomeranian dog was presented for evaluation of tenesmus, “hunched” stance, and decreased energy. On physical examination, a 3cm palpable mass cranial to pelvic canal was noted. Survey radiographs showed a mineralization/spherical mass in area of the prostate.

An 11-year-old neutered male Pomeranian dog was presented for evaluation of tenesmus, “hunched” stance, and decreased energy. On physical examination, a 3cm palpable mass cranial to pelvic canal was noted. Survey radiographs showed a mineralization/spherical mass in area of the prostate.

Sonographic Differential Diagnosis

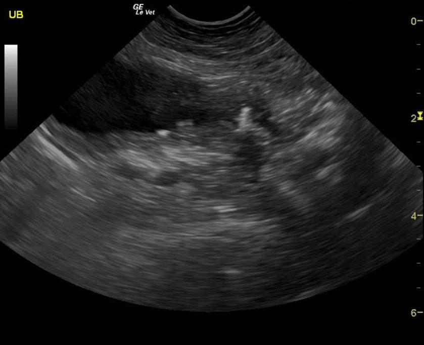
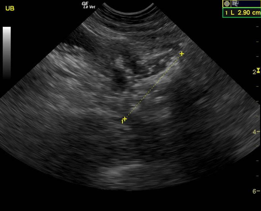
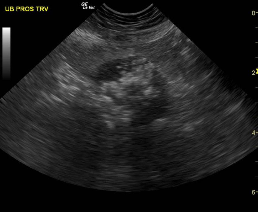
Mineralizing prostatic mass extending into the preprostatic urethra and trigone with local iliac lymphadenopathy. These images are strongly suggestive for metastatic prostatic carcinoma.

Image Interpretation

The prostate presented multi focal mineralization with swollen contour with minor polypoid changes and hyperechoic surrounding fat. This projected into the trigone. The mineralizing, prostatic mass measured 2.9 cm and infiltrated into the preprostatic urethra and likely post prostatic urethra. Iliac lymphadenopathy was noted.
Comet-tail pattern was noted in the transdiaphragmatic view of the thoracic cavity. Chest radiographs would be warranted to assess for pulmonary disease or potential metastatic disease.

DX

Prostatic carcinoma

Outcome

The patient was started on medical treatment.

Comments

Urethral stent placement would be ideal in this case. COX-2 inhibitor and Enrofloxacin may allow for palliative treatment in the meantime. However, given the suspicion of regional and potentially pulmonary metastatic disease, the prognosis is very guarded long term. 

Clinical Differential Diagnosis

Prostate – neoplasia, abscess. Neoplasia of bladder, colon, pelvis.

Sampling

FNAs of the prostate were performed without complication and confirmed carcinoma.

Patient Information

Patient Name : Tinker B
Gender : Male, Neutered
Species : Canine
Type of Imaging : Ultrasound
Status : Complete
Liz Wuz Here : Yes
Code : 09_00069

Clinical Signs

  • Tenesmus

Exam Finding

  • Palpable mass

Images

pros_measprost_trvtrigoneln

Clinical Signs

  • Tenesmus
Skip to content