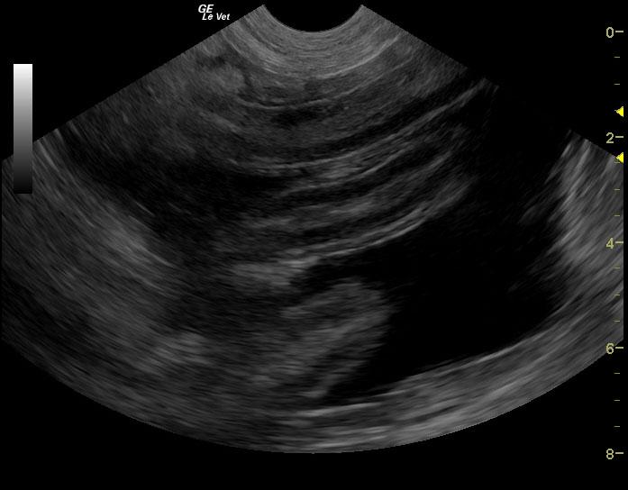
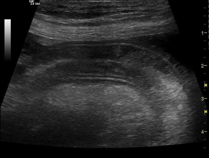
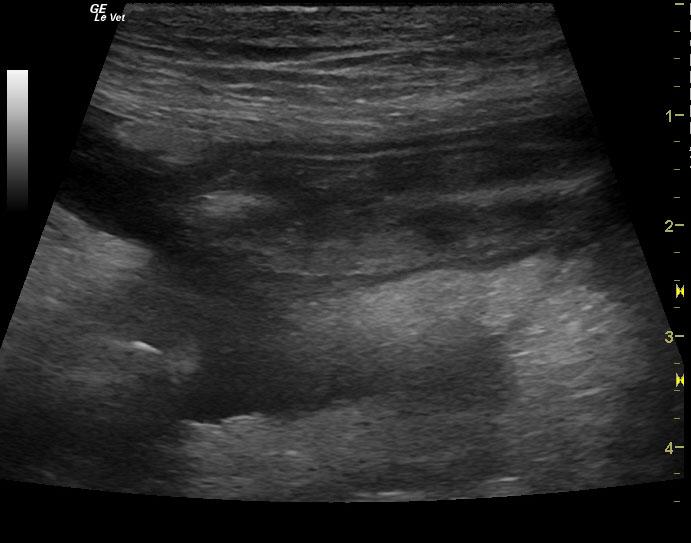
A 6-year-old female spayed Hound mix dog was presented for decreased appetite, increased drinking, and watery diarrhea for 4 days. Physical exam found soft, fluid filled bowels on abdominal palpation. An anti-diarrheal injection was administered, and the patient was discharged with oral anti-diarrheal medication, along with Tylan powder. Approximately 1 week later, the patient presented for persistent decreased appetite, lethargy, and watery stool.
A 6-year-old female spayed Hound mix dog was presented for decreased appetite, increased drinking, and watery diarrhea for 4 days. Physical exam found soft, fluid filled bowels on abdominal palpation. An anti-diarrheal injection was administered, and the patient was discharged with oral anti-diarrheal medication, along with Tylan powder. Approximately 1 week later, the patient presented for persistent decreased appetite, lethargy, and watery stool. Physical exam found patient bright and alert, with pink mucous membranes, normal CRT, heart and lungs clear, a slightly distended abdomen, and no palpable masses found. Blood chemistry revealed hypoproteinemia, hypoalbuminemia, hypocalcemia, and hypocholesterolemia. CBC found high platelet count. Fecal was negative.


