Plasma cell neoplasia and hepatic lipidosis

Case Study

Plasma cell neoplasia and hepatic lipidosis

A 9-year-old MN DSH presented with anorexia and weight loss. Physical examination revealed poor body condition and mild dehydration. Moderately elevated SAP and mildly elevated ALT and mildly elevated AST were revealed on blood chemistry analysis.

A 9-year-old MN DSH presented with anorexia and weight loss. Physical examination revealed poor body condition and mild dehydration. Moderately elevated SAP and mildly elevated ALT and mildly elevated AST were revealed on blood chemistry analysis.

Sonographic Differential Diagnosis

These findings are consistent with an infiltrative process. US-guided FNA revealed plasma cell neoplasia and moderate hepatic lipidosis.

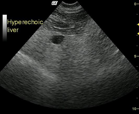
Image Interpretation

Longitudinal view of the midliver, gallbladder (11 o’clock position), and falciform fat (top) reveals markedly diffuse hyperechoic parenchyma compared with the falciform fat.

DX

Plasma cell neoplasia and moderate hepatic lipidosis

Outcome

The patient was humanely euthanized owing to poor clinical response and owner reluctance to pursue chemotherapy.

Clinical Differential Diagnosis

Neoplasia, hepatitis, hepatic lipidosis, feline infectious peritonitis (FIP), pancreatitis, IBD.

Sampling

Owing to moderate PT and aPTT elevations, as well as the poor clinical status of the patient, US-guided FNA rather than biopsy was performed. The cytology revealed plasma cell neoplasia and moderate hepatic lipidosis.

Patient Information

Patient Name : Spanky E
Gender : Male, Neutered
Species : Feline
Type of Imaging : Ultrasound
Status : Complete
Liz Wuz Here : Yes
Code : 03_00006

Clinical Signs

  • Anorexia
  • Weight loss

Exam Finding

  • Dehydration
  • Weight loss

Images

SPANKYECROYDFELPLASMACELLNEOPLASIan_02122009031923

Blood Chemistry

  • Alkaline Phosphatase (SAP), High
  • ALT (SGPT), High
  • AST (SGOT), High

Clinical Signs

  • Anorexia
  • Weight loss
Skip to content