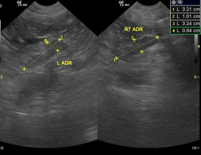
A 13 year old, SF mixed breed dog was presented for polyuria, polydypsia, and loss of fur. On physical examination, she had a pot-bellied appearance. Urinalysis revealed 2+ proteinuria and positive microalbuminuria. Elevated ALP activity and hyperlipasemia were evident on blood chemistry. ACTH stimulation test showed normal baseline cortisol level with an elevated level post ACTH. Adrenal panel revealed increased baseline androstenedione with elevated level post ACTH, increased baseline estradiol with normal value post ACTH, and normal baseline progesterone with elevated level post ACTH.
A 13 year old, SF mixed breed dog was presented for polyuria, polydypsia, and loss of fur. On physical examination, she had a pot-bellied appearance. Urinalysis revealed 2+ proteinuria and positive microalbuminuria. Elevated ALP activity and hyperlipasemia were evident on blood chemistry. ACTH stimulation test showed normal baseline cortisol level with an elevated level post ACTH. Adrenal panel revealed increased baseline androstenedione with elevated level post ACTH, increased baseline estradiol with normal value post ACTH, and normal baseline progesterone with elevated level post ACTH. On dexamethasone suppression test, basal cortisol was 2.6 and the 8 hour value was 8.6. T4 was low.
