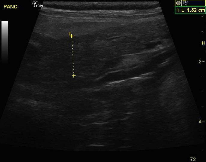
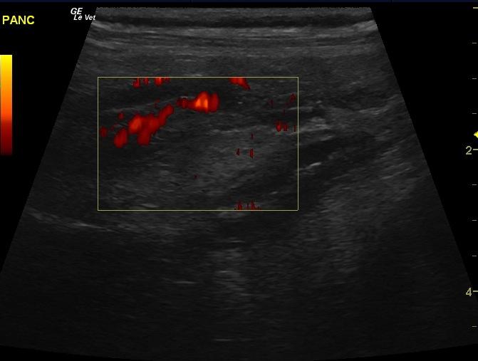
An 11 year-old MN Standard Poodle was presented for pyrexia, lethargy, and abdominal discomfort. Abnormalities on CBC and serum biochemistry were leukocytosis and severely elevated cPL. On radiographs, possible loss of detail of the cranial right quadrant was evident.
An 11 year-old MN Standard Poodle was presented for pyrexia, lethargy, and abdominal discomfort. Abnormalities on CBC and serum biochemistry were leukocytosis and severely elevated cPL. On radiographs, possible loss of detail of the cranial right quadrant was evident.


