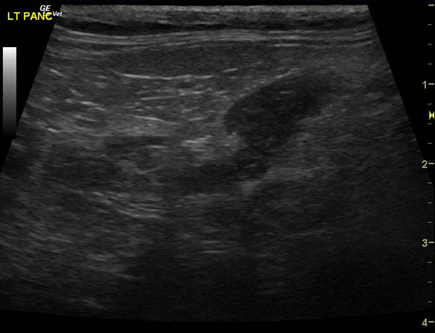
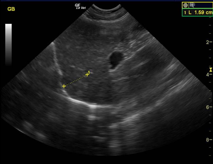
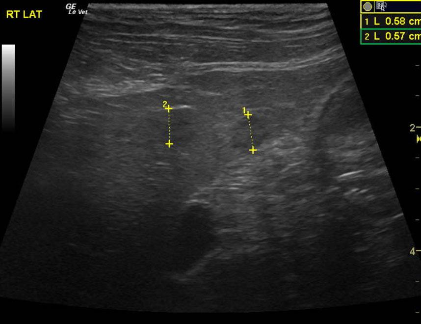
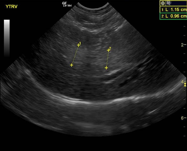
A 15-year-old MN DMH cat was presented for chronic diarrhea, hyperthyroid, dehydration, otitis externa, and periodontal disease. The CBC was markedly normal with blood chemistry revealing an elevated ALT (154,) elevated SAP (109,) hyperT4 (>10,). An IDEXX feline diarrhea panel was negative for virus, parasites, & bacteria.
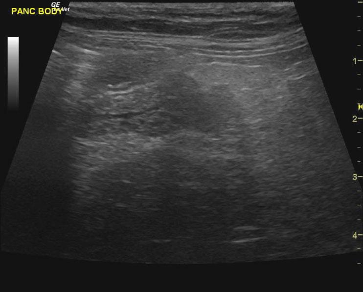
A 15-year-old MN DMH cat was presented for chronic diarrhea, hyperthyroid, dehydration, otitis externa, and periodontal disease. The CBC was markedly normal with blood chemistry revealing an elevated ALT (154,) elevated SAP (109,) hyperT4 (>10,). An IDEXX feline diarrhea panel was negative for virus, parasites, & bacteria.





