Pancreatic necrosis in an 11 year old MN Yorkshire Terrier dog

Case Study

Pancreatic necrosis in an 11 year old MN Yorkshire Terrier dog

An 11-year-old MN Yorkshire Terrier was presented for intermittent vomiting. Blood work revealed elevated WBC, elevated amylase, elevated lipase, and increased SAP. The patient is anorexic and dehydrated.

An 11-year-old MN Yorkshire Terrier was presented for intermittent vomiting. Blood work revealed elevated WBC, elevated amylase, elevated lipase, and increased SAP. The patient is anorexic and dehydrated.

Sonographic Differential Diagnosis

Pancreatic necrosis/abscessation. Potential concurrent pancreatic neoplasia/carcinoma.

Image Interpretation

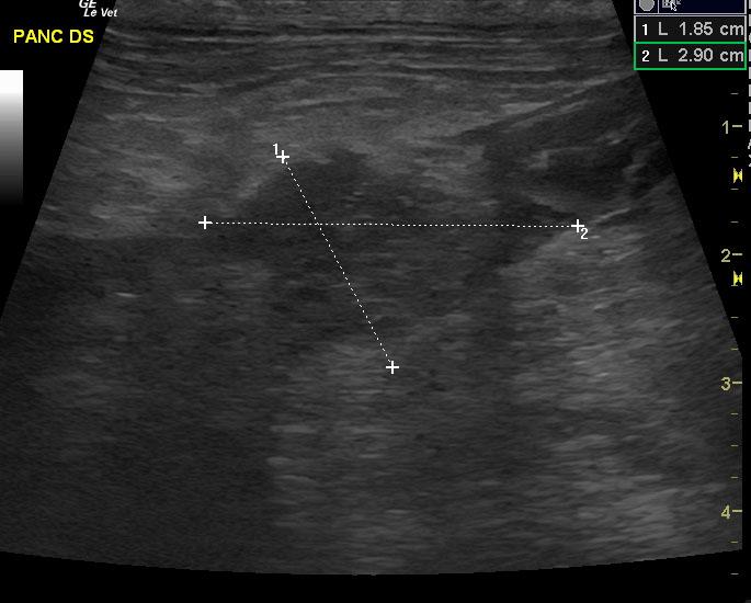
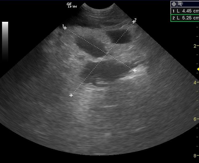
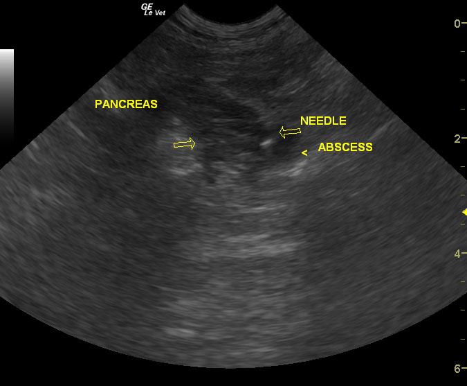
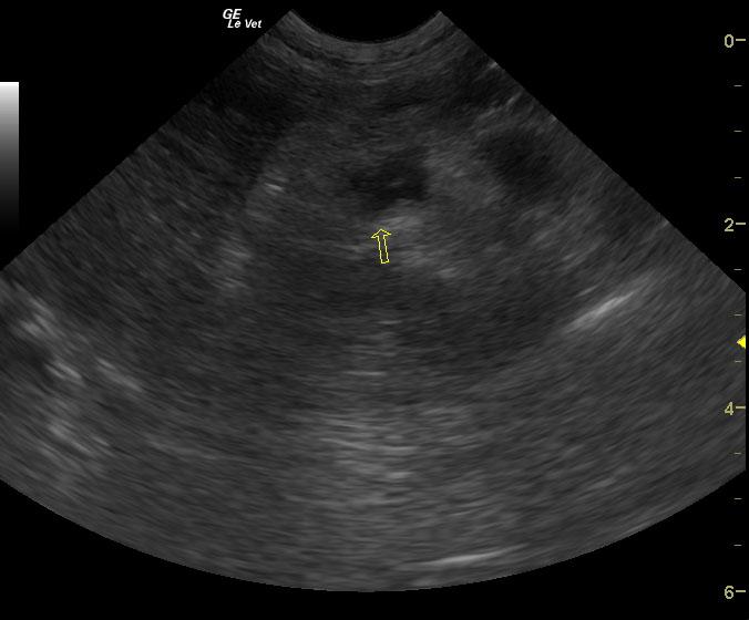
Extensive mixed hypoechoic pancreatic parenchyma is noted much of which lacks blood flow on power Doppler assessment. Gastroduodenal thickening is noted with duodenal spasm. Cavitations are noted in the pancreas with echogenic fluid. Extensive hyperechoic fat is noted.

DX

Pancreatic necrosis.

Outcome

The abscesses were drained. The patient was treated in hospital for 1 week with plasma expanders, pain management, GI protectants, and parenteral antibiotics followed by six weeks of outpatient antibiotics and one additional abscess drainage procedure.

Comments

The patient was lost to follow up.

Clinical Differential Diagnosis

G.I. clinical signs- pancreatitis, gastritis, foreign body, neoplasia.

Sampling

FNA revealed necrosis.

Patient Information

Patient Name : Shawney I
Gender : Male, Neutered
Species : Canine
Type of Imaging : Ultrasound
Status : Complete
Liz Wuz Here : Yes
Code : 05_00105

Clinical Signs

  • Anorexia
  • Vomiting

Exam Finding

  • Dehydration

Images

20120930210244_1030201205541220120930205654_1030201205542720120930205408_1030201205544020120930205226_1030201205545420120930205012_10302012055510

Blood Chemistry

  • Alkaline Phosphatase (SAP), High
  • Amylase, High
  • Lipase, High

CBC

  • WBC, High

Clinical Signs

  • Anorexia
  • Vomiting
Skip to content