Pancreatic mass in a 11 year old MN Rottweiler dog

Case Study

Pancreatic mass in a 11 year old MN Rottweiler dog

An 11 year-old MN Rottweiler dog was presented for weakness and difficulty walking. The only significant abnormality on CBC and serum biochemistry was hypoglycemia. On a serial blood glucose curve over 12 hours, the hypoglycemia persisted despite frequent feedings. Survey abdominal radiographs showed a mid-abdominal mass effect and cranial displacement of the stomach.

An 11 year-old MN Rottweiler dog was presented for weakness and difficulty walking. The only significant abnormality on CBC and serum biochemistry was hypoglycemia. On a serial blood glucose curve over 12 hours, the hypoglycemia persisted despite frequent feedings. Survey abdominal radiographs showed a mid-abdominal mass effect and cranial displacement of the stomach.

Sonographic Differential Diagnosis

Mineralizing pancreatic mass.

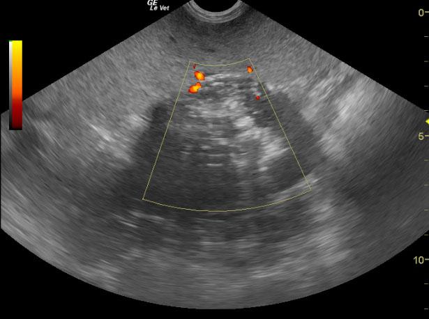
Image Interpretation

The pancreas was largely normal with minor age related changes in the right limb and right pancreatic base. However, the left pancreatic base opened up into a large 10+ cm mineralizing mass. This is consistent with pancreatic carcinoma. Some omental adhesions were noted in the mid-abdomen. The mesenteric root was not visualized given that it was obscured by the mass.

DX

Pancreatic mass

Outcome

Surgery was recommended to resect the pancreatic mass but the owner elected for palliative medical therapy using 10 mg prednisone twice daily.

Clinical Differential Diagnosis

Insulinoma. Abdominal neoplasia of the liver, spleen, kidney, stomach, intestine, mesentery. Organ abscessation with sepsis.

Sampling

None

Patient Information

Patient Name : Toby M
Gender : Male, Neutered
Species : Canine
Type of Imaging : Ultrasound
Book : yes
Status : Complete
Liz Wuz Here : Yes
Code : 05_00060

Clinical Signs

  • Difficulty walking
  • Weakness

Images

uMAsswithlabelsPowermass

Blood Chemistry

  • Glucose, Low

Clinical Signs

  • Difficulty walking
  • Weakness
Skip to content