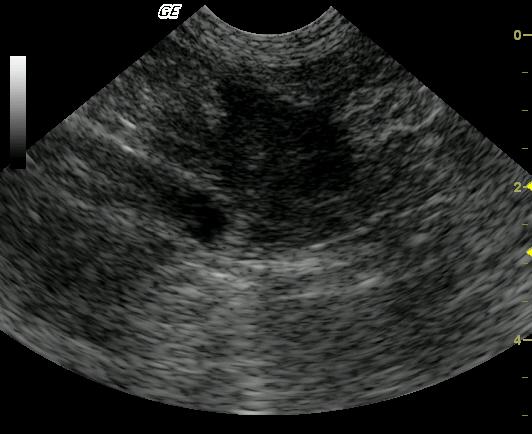
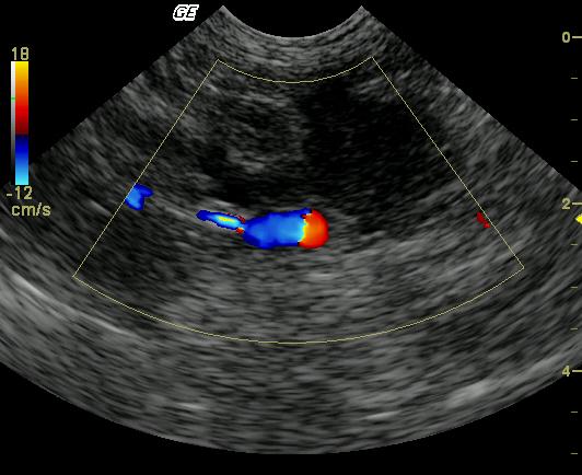
This 14-year-old FS DSH was presented for lethargy and vomiting. The physical exam revealed icterus, dehydration, and emaciation with thickened bowel loops and irregularly shaped kidneys on palpation. The CBC revealed only elevated absolute monocytosis while blood chemistry results revealed a markedly elevated ALT, markedly elevated lipase, and markedly elevated total bilirubin, with moderate azotemia, hyperglycemia and low T4. Urinalysis findings included 3+ bilirubinuria, spec gravity of 1.032, and cocci bacteria.
This 14-year-old FS DSH was presented for lethargy and vomiting. The physical exam revealed icterus, dehydration, and emaciation with thickened bowel loops and irregularly shaped kidneys on palpation. The CBC revealed only elevated absolute monocytosis while blood chemistry results revealed a markedly elevated ALT, markedly elevated lipase, and markedly elevated total bilirubin, with moderate azotemia, hyperglycemia and low T4. Urinalysis findings included 3+ bilirubinuria, spec gravity of 1.032, and cocci bacteria.

