Mitral and tricuspid insufficiencies with pulmonary hypertension, right-sided congestive heart failure and liver masses in a 13 year old FS Dachshund dog

Case Study

Mitral and tricuspid insufficiencies with pulmonary hypertension, right-sided congestive heart failure and liver masses in a 13 year old FS Dachshund dog

A 13-year-old FS Dachshund dog was presented with distended abdomen, hacking cough, and weight loss. A grade 6/6 heart murmur was presented on clinical examination. Survey radiographs showed generalized cardiomegaly, hepatomegaly and posible ascites. Laboratory testing showed elevated liver activity (ALT 233, ALP 1046.)

Sonographic Differential Diagnosis

Mitral and tricuspid insufficiency.
Bilateral volume overload.
Pulmonary hypertension.
Passive congestion liver and diffuse nodular changes.
Low grade liver masses. This is consistent with pronounced nodular hyperplasia or hepatocellular carcinoma. The ascites is owing to right sided heart failure in this patient.

Image Interpretation

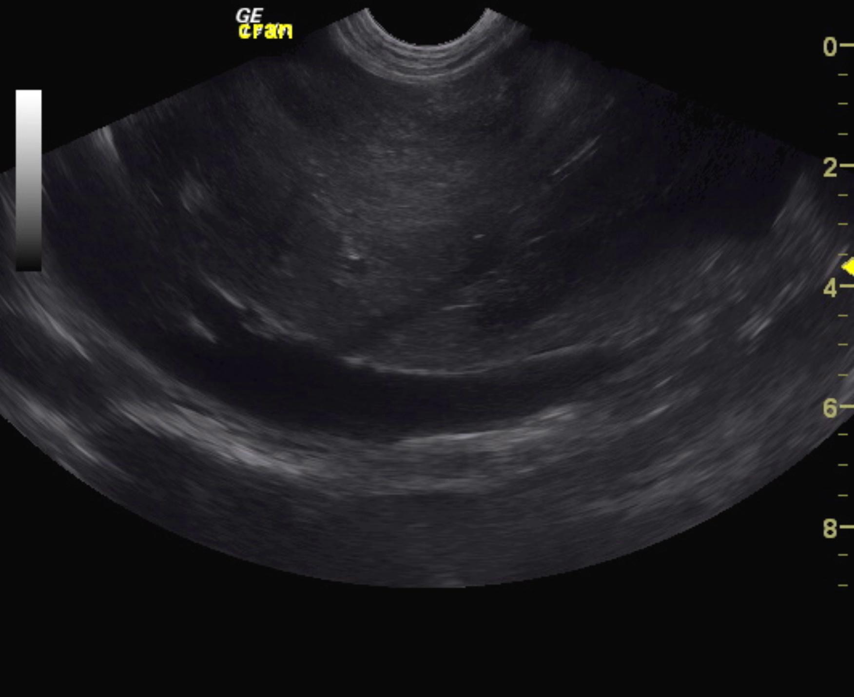
The left liver revealed a hyperechoic mass that measured 3.34 cm. This is consistent with pronounced, nodular hyperplasia or possible hepatocellular carcinoma. A separate mass that measured 4.78 x 3.4 cm with loss of detail and hyperechoic parenchyma was noted. Aside from the masses, the liver revealed swollen, irregular contour and nodular changes. Gallbladder was unremarkable. The common bile duct was unremarkable.
Heterogenous parenchymal changes were noted throughout the pancreas. This is likely owing to edema and artifact owing to the ascites. The abdomen presented a moderate amount of ascites, dilated hepatic veins and dilated vena cava.
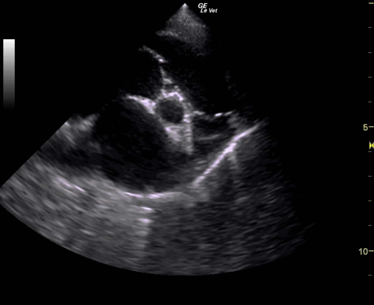
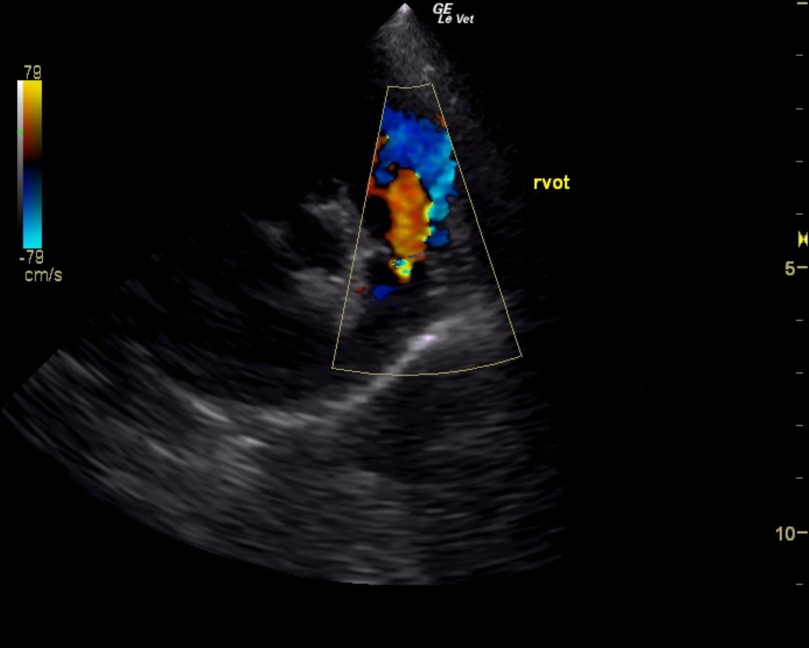
The cardiac presentation revealed moderate left and right sided overload with tricuspid and mitral valve vegetative lesions. Left atrial and right atrial enlargement was noted. Right ventricular overload was noted with flattening of the ventricular septum. Slight prolapse of the anterior mitral valve leaflet was noted. Prolapse of the tricuspid vavle was also noted. Significant pulmonic insufficiency and tricuspid insufficiency was noted. This is consistent with pulmonary hypertension.
Pulmonic insufficiency velocity 1.8 m.sec.
Tricuspid insufficiency velocity 3.9 m/sec

DX

Mitral and tricuspid insufficiencies with pulmonary hypertension, right-sided congestive heart failure and liver masses

Clinical Differential Diagnosis

Cardiac – mitral/tricuspid endocardiosis, vegetative endocarditis, pericardial effusion, myocardial failure
Cushing’s disease
Liver – neoplasia, chronic-active hepatitis, nodular regeneration

Sampling

None

Patient Information

Patient Name : Sammi
Gender : Female, Spayed
Species : Canine
Type of Imaging : Ultrasound
Status : Complete
Liz Wuz Here : Yes

Clinical Signs

  • Abdominal Distension
  • Coughing
  • Weight loss

Exam Finding

  • Free fluid
  • Heart Murmur
  • Hepatomegaly

Images

_20150208121757mi_ti_colorsammie_saggert_la_ao_boonsammie_swaggert_lv_mmodesammie_swaggert_pa_velsammie_swaggert_pi_cfsammie_swaggert_tr_phtsammioe_swaggert_heart_baseimg_1046img_1045

Blood Chemistry

  • Alkaline Phosphatase (SAP), High
  • ALT (SGPT), High

Clinical Signs

  • Abdominal Distension
  • Coughing
  • Weight loss
Skip to content