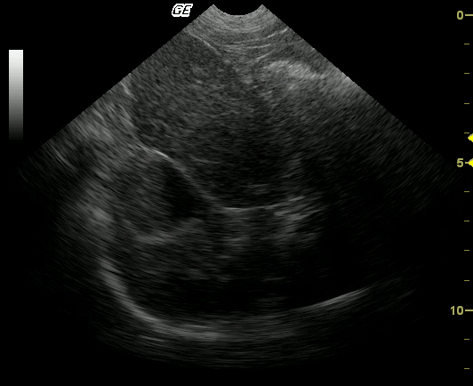
This 14-year-old MN Springer Spaniel was presented for decreased appetite, vomiting, and melena that was non responsive to medical therapy. The clinical condition was rapidly declining. The physical exam was uneventful. Blood analysis revealed a progressively, mildly elevated ALT and mildly elevated SAP in serial samples over a 3-week period
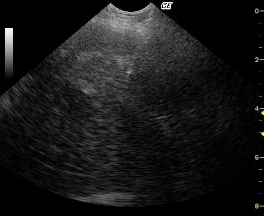
This 14-year-old MN Springer Spaniel was presented for decreased appetite, vomiting, and melena that was non responsive to medical therapy. The clinical condition was rapidly declining. The physical exam was uneventful. Blood analysis revealed a progressively, mildly elevated ALT and mildly elevated SAP in serial samples over a 3-week period

