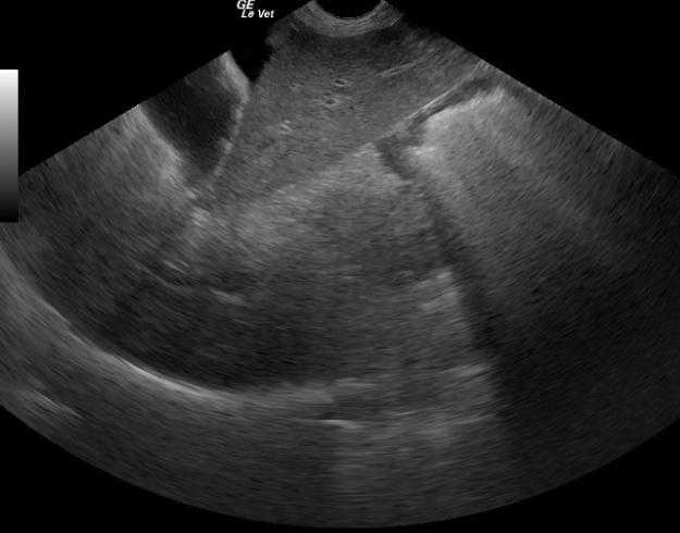
A 9-year-old MN English Pointer was presented for decreased appetite, weight loss, lethargy, and halitosis. Physical examination findings were generalized muscle wasting and slightly pale mucous membranes. The only abnormality on urinalysis was trace proteinuria; UPC showed borderline proteinuria. Abnormalities on CBC were anemia and thrombocytopenia. The patient was treated with Prednisone pending an ultrasound.
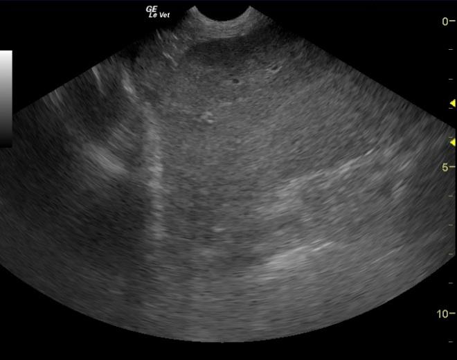
A 9-year-old MN English Pointer was presented for decreased appetite, weight loss, lethargy, and halitosis. Physical examination findings were generalized muscle wasting and slightly pale mucous membranes. The only abnormality on urinalysis was trace proteinuria; UPC showed borderline proteinuria. Abnormalities on CBC were anemia and thrombocytopenia. The patient was treated with Prednisone pending an ultrasound.


