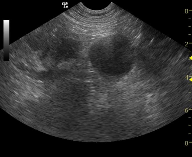
A 5-year-old FS Boxer dog was presented for vomiting, diarrhea, anorexia, and weight loss. The blood chemistry revealed elevated ALT and elevated AST enzyme activities. The CBC showed a leukocytosis consisting of a neutrophilia and a monocytosis. Thoracic radiographs were performed and there was no evidence of mass lesions and the cardiac silhouette was within normal limits.
A 5-year-old FS Boxer dog was presented for vomiting, diarrhea, anorexia, and weight loss. The blood chemistry revealed elevated ALT and elevated AST enzyme activities. The CBC showed a leukocytosis consisting of a neutrophilia and a monocytosis. Thoracic radiographs were performed and there was no evidence of mass lesions and the cardiac silhouette was within normal limits.
