Lymphoma in a 6 year old Australian Shepherd mix dog

Case Study

Lymphoma in a 6 year old Australian Shepherd mix dog

A 6-year-old Australian Shepherd mix dog was presented for diarrhea. Due to the fractious nature of patient, only a limited exam could be performed. The patient was discharged with two antidiarrheal medications and a dewormer. Less than 2 months later, the patient was presented again due to lethargy, vomiting and diarrhea. In-house blood chemistry showed only hyperamylasemia. The CBC showed a leukocytosis, neutrophilia, and monocytosis.

A 6-year-old Australian Shepherd mix dog was presented for diarrhea. Due to the fractious nature of patient, only a limited exam could be performed. The patient was discharged with two antidiarrheal medications and a dewormer. Less than 2 months later, the patient was presented again due to lethargy, vomiting and diarrhea. In-house blood chemistry showed only hyperamylasemia. The CBC showed a leukocytosis, neutrophilia, and monocytosis.

Sonographic Differential Diagnosis

This is highly suggestive for lymphoma or similar round cell neoplasia with a minor possibility of complicated inflammatory bowel disease.

Image Interpretation

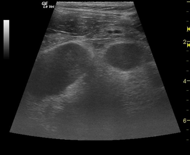
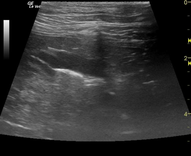
The gastrointestinal tract was normal in the region of the stomach and pylorus. The distal small intestine and jejunum presented minor areas of loss of detail with reactive omentum and large dramatically hypoechoic mesenteric root lymph nodes with significant loss of detail. Reactive omentum was also present suggestive of transmural pathology within the intestine and lymph nodes. The largest lymph node measured approximately 8cm in length.

DX

Intermediate to high grade lymphoma

Outcome

PCR testing at Colorado State University was suggested. Oral steroids were initiated, in addition to a bland diet. The dog remained inappetant and continued to deteriorate. The patient was euthanized within a few weeks of diagnosis.

Clinical Differential Diagnosis

Gastrointestinal disease (food intolerance, inflammatory bowel disease, dietary indiscretion, foreign body, or neoplasia including lymphoma, adenocarcinoma, leiomyoma, leiomyosarcoma, or mast cell tumor), extra-gastrointestinal causes (hypoadrenocorticism, chronic active pancreatitis, hepatitis).

Sampling

US-guided FNAs of two lymph nodes was completed. Cytology revealed intermediate to high grade lymphoma , with necrosis and neutrophilic inflammation.

Patient Information

Patient Name : Bear B
Species : Canine
Type of Imaging : Ultrasound
Status : Complete
Liz Wuz Here : Yes
Code : 04_00160

Clinical Signs

  • Diarrhea
  • Lethargy
  • Vomiting

Images

lossoflayeringLymphnodes

Blood Chemistry

  • Amylase, High

CBC

  • Monocytes, High
  • Neutrophils, High
  • WBC, High

Clinical Signs

  • Diarrhea
  • Lethargy
  • Vomiting