Lymphoma in a 13 year old MN DSH cat

Case Study

Lymphoma in a 13 year old MN DSH cat

13-year-old MN DSH cat was presented for the evaluation of persistent vomiting, and weight loss. The cat was emaciated and an intermittent grade II/VI systolic heart murmur was ausculted. A leukocytosis was present on the CBC. The blood chemistry showed an elevated urea, hypoproteinemia, hypoalbuminemia, hypoglobulinemia, hypocalcemia, hyperkalemia, hyperchloremia and elevated T4 value. The urinalysis was within normal limits.

13-year-old MN DSH cat was presented for the evaluation of persistent vomiting, and weight loss. The cat was emaciated and an intermittent grade II/VI systolic heart murmur was ausculted. A leukocytosis was present on the CBC. The blood chemistry showed an elevated urea, hypoproteinemia, hypoalbuminemia, hypoglobulinemia, hypocalcemia, hyperkalemia, hyperchloremia and elevated T4 value. The urinalysis was within normal limits.

Sonographic Differential Diagnosis

Intestinal mass: lymphoma, carcinoma, leiomyosarcoma, less likely granulomatous or complicated inflammatory disease.

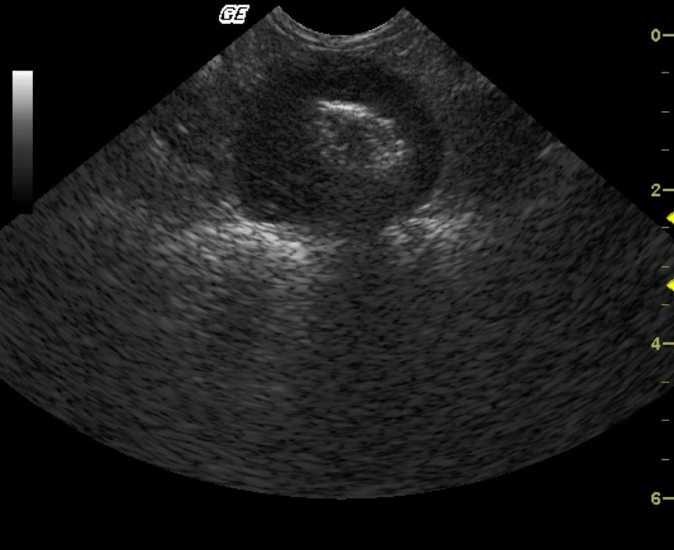
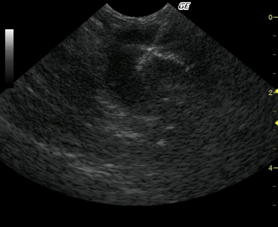
Image Interpretation

A round, intestinal wall mass was noted in the small intestine with loss of mural detail. The hyperechoic central lumen identifies the mass as intestinal in origin. The biopsy track crosses into the lumen which is not ideal as it may allow for luminal contamination of the abdominal cavity as well as the pathology sample potentially causing a septic enteritis diagnosis as opposed to a neoplastic one.

DX

Alimentary lymphoma

Outcome

The patient was treated with chlorambucil (Leukeran®) and prednisone but was eventually euthanized due to the lack of improvement.

Comments

No video is available on this patient.

Clinical Differential Diagnosis

Intestinal neoplasia (lymphoma, adenocarcinoma, leiomyoma, leiomyosarcoma, mast cell tumor,) pancreatic adenocarcinoma, poorly controlled hyperthyroidism, very severe inflammatory bowel disease.

Sampling

U/S-guided Tru-cutВ® biopsy of intestinal thickening revealed alimentary lymphoma.

Patient Information

Patient Name : Freddie P
Gender : Male, Neutered
Species : Feline
Type of Imaging : Ultrasound
Status : Complete
Liz Wuz Here : Yes
Code : 04_00202

Clinical Signs

  • Vomiting
  • Weight loss

Exam Finding

  • Cachexia
  • Heart Murmur

Images

PoalilloIntestPoalilloIntestBx

Blood Chemistry

  • Albumin, Low
  • BUN high
  • Calcium, Low
  • Chloride, High
  • Chloride, Low
  • Globulin, Low
  • Hyperthyroidism
  • Potassium, High
  • Total Protein, Low

CBC

  • WBC, High

Clinical Signs

  • Vomiting
  • Weight loss