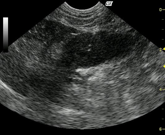
This 8-year-old MN DSH was presented for progressive vomiting and anorexia. The physical exam revealed a palpable cranial abdominal mass, poor body condition, and mild dehydration. CBC presented a mild regenerative anemia while the blood chemistry analysis was normal.
This 8-year-old MN DSH was presented for progressive vomiting and anorexia. The physical exam revealed a palpable cranial abdominal mass, poor body condition, and mild dehydration. CBC presented a mild regenerative anemia while the blood chemistry analysis was normal.
