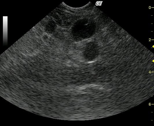
This 2-year-old Maine Coon cat was presented after five days of vomiting and anorexia. The physical examination revealed mildly thickened intestines and 5% dehydration. Blood analysis revealed mild regenerative anemia and slightly elevated globulin levels.
This 2-year-old Maine Coon cat was presented after five days of vomiting and anorexia. The physical examination revealed mildly thickened intestines and 5% dehydration. Blood analysis revealed mild regenerative anemia and slightly elevated globulin levels.

