Lymphoblastic Gastric Lymphoma in a 8 year old MN DSH cat

Case Study

Lymphoblastic Gastric Lymphoma in a 8 year old MN DSH cat

This 8-year-old MN DSH presented for 2 days of vomiting and lethargy. The physical exam revealed mild dehydration. Blood analysis was normal except for a mildly elevated CPK and a mild leukocytosis with a left shift.

This 8-year-old MN DSH presented for 2 days of vomiting and lethargy. The physical exam revealed mild dehydration. Blood analysis was normal except for a mildly elevated CPK and a mild leukocytosis with a left shift.

Sonographic Differential Diagnosis

Gastric wall mass consistent with neoplasia such as lymphosarcoma or a similar round cell tumor. Severe, focal inflammatory or granulomatous disease is considered less likely.

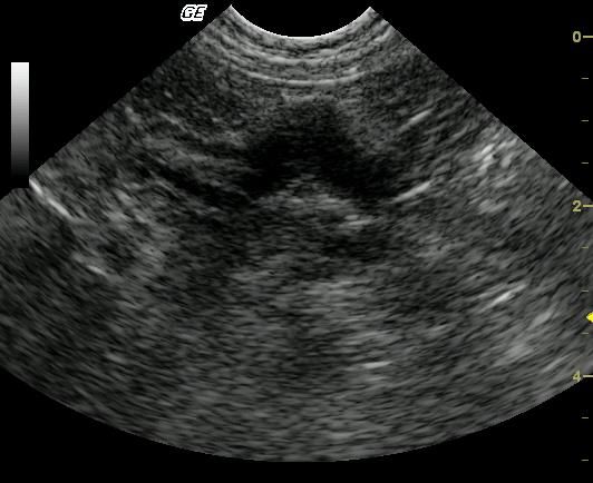
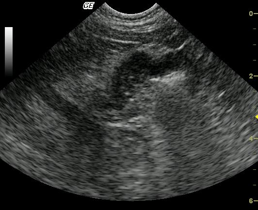
Image Interpretation

The transverse image of the stomach reveals marked focal thickening of the gastric wall extending from the ventral surface to the lesser curvature. The affected gastric wall is hypoechoic and lacks wall layering. The echogenic wedge-shaped foci noted in the near field within the thickened gastric wall may represent an area of necrosis or fibrosis. Video: Loss of detail is noted in the affected pyloric outflow tract meeting neoplastic criteria but complicated inflammatory disease may present occasionally in this manner. The lesion is focal and may be resectable.

DX

High grade lymphoblastic gastric lymphoma

Outcome

The patient was euthanized. The owner elected not to pursue aggressive chemotherapy given the lymphoblastic nature of the mass.

Clinical Differential Diagnosis

Pancreatic pathology -pancreatitis; GI pathology- gastroenteritis/ulceration, IBD, foreign body, neoplasia, bowel infarction

Sampling

Surgical attempt at partial gastrectomy revealed high grade lymphoblastic gastric lymphoma.

Patient Information

Patient Name : Omalley L
Gender : Male, Neutered
Species : Feline
Type of Imaging : Ultrasound
Status : Complete
Liz Wuz Here : Yes
Code : 04_00070

Clinical Signs

  • Lethargy
  • Vomiting

Exam Finding

  • Dehydration

Images

Omalley_1_02102010080713Omalley_2_02102010080731

Blood Chemistry

  • CPK, High

CBC

  • Left Shift
  • WBC, High

Clinical Signs

  • Lethargy
  • Vomiting