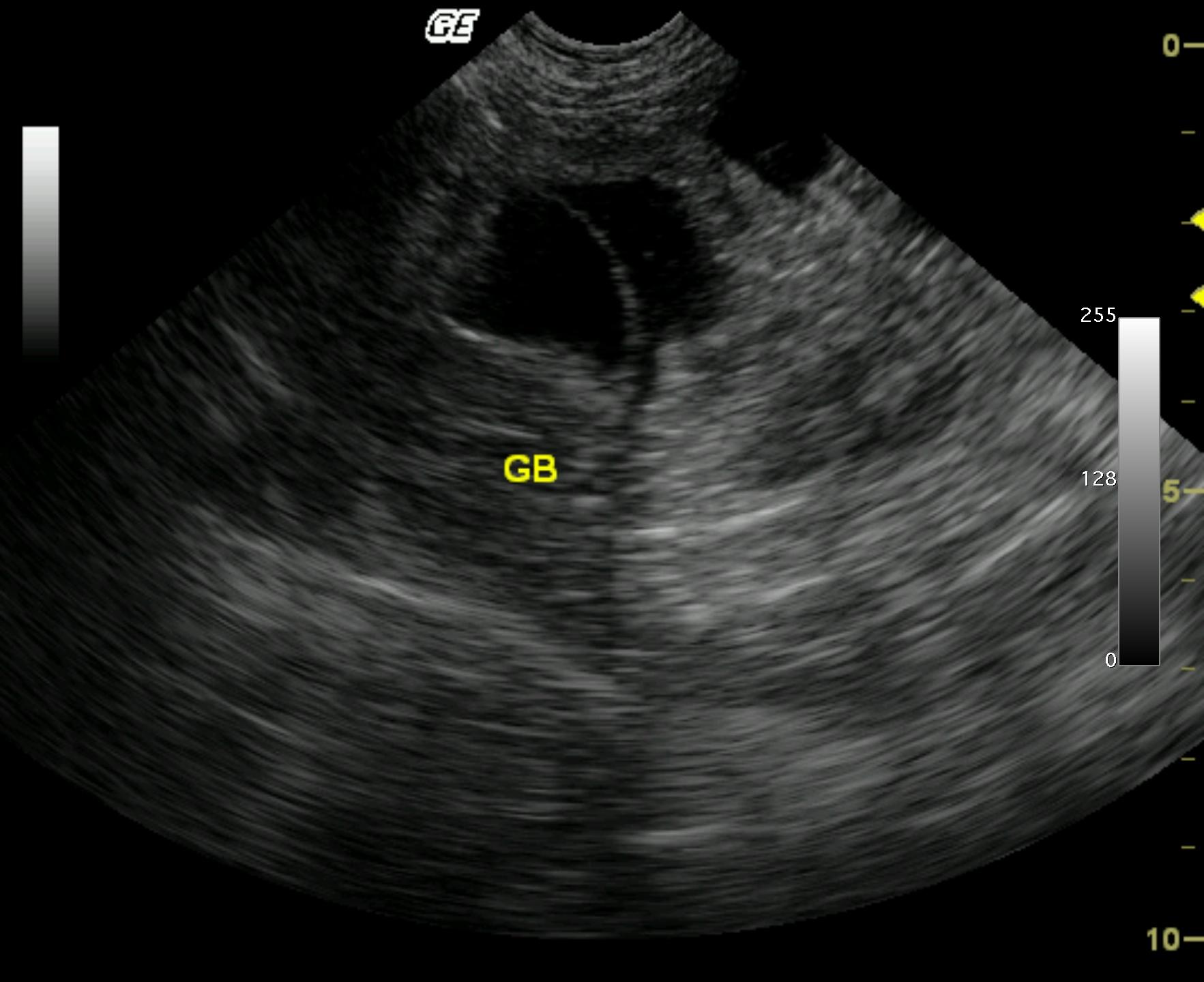
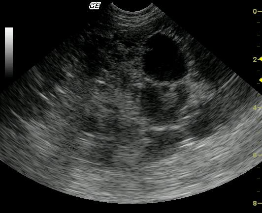
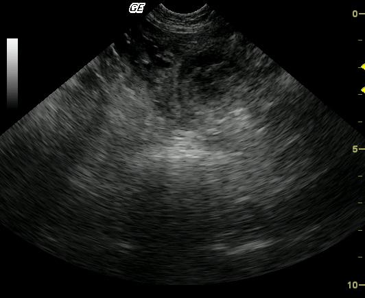
An 8-year-old MN DLH cat was presented with a 3-day history of lethargy, vomiting, and diarrhea. A palpable abdominal mass was present on physical examination. The initial blood chemistry profile revealed severely elevated ALT and severely elevated AST with moderate azotemia and a mildly elevated creatinine concentration. Urinalysis revealed a specific gravity of 1.059 and hematuria. Moderate non-regenerative anemia also was evident.
An 8-year-old MN DLH cat was presented with a 3-day history of lethargy, vomiting, and diarrhea. A palpable abdominal mass was present on physical examination. The initial blood chemistry profile revealed severely elevated ALT and severely elevated AST with moderate azotemia and a mildly elevated creatinine concentration. Urinalysis revealed a specific gravity of 1.059 and hematuria. Moderate non-regenerative anemia also was evident.


