A 1 year old MN Boxer dog was presented for evaluation following eating a doormat.
A 1 year old MN Boxer dog was presented for evaluation following eating a doormat.
A 1 year old MN Boxer dog was presented for evaluation following eating a doormat.
A 1 year old MN Boxer dog was presented for evaluation following eating a doormat.
Gastric, duodenal ileocecal foreign body. Immediate exploratory is recommended.
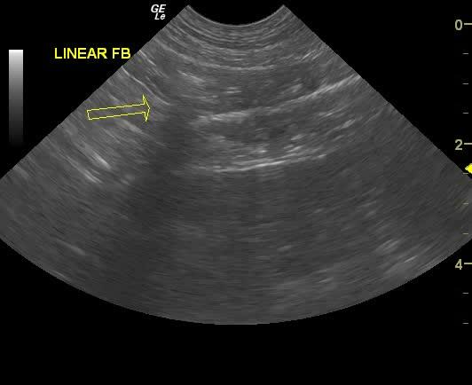
The stomach presented with a 5.0 cm linear foreign body that continued into the duodenum and small intestine. Accordion pleating was noted in the distal small intestine as well as ileocecal region.
Exploratory surgery was performed and linear foreign body was retrieved surgically after three enterotomies and gastrotomy. The patient recovered uneventfully.
GI tract foreign body with partial or complete obstruction, GI tract irritation,Gastric duodenal ulceration
None