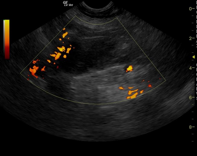
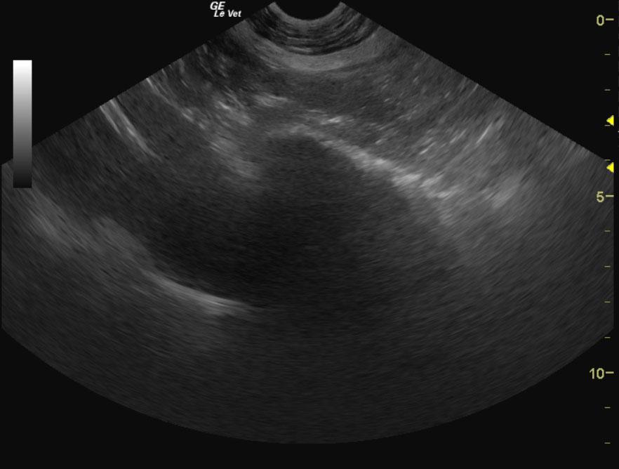
A 10-year-old FS Bull Mastiff dog with a history of urinary tract infections was presented for vomiting, polyuria/polydypsia, and pollakiuria. The urine appeared turbid, and analysis revealed isosthenuria, proteinuria, pyuria, and hematuria. Urine culture yielded E.coli. Abnormalities on CBC and serum biochemistry were monocytosis, mildly elevated ALP activity, and elevated lipase.
A 10-year-old FS Bull Mastiff dog with a history of urinary tract infections was presented for vomiting, polyuria/polydypsia, and pollakiuria. The urine appeared turbid, and analysis revealed isosthenuria, proteinuria, pyuria, and hematuria. Urine culture yielded E.coli. Abnormalities on CBC and serum biochemistry were monocytosis, mildly elevated ALP activity, and elevated lipase.




