Invasive Right Adrenal Mass in a 13-year-old, FS, DSH cat

Case Study

Invasive Right Adrenal Mass in a 13-year-old, FS, DSH cat

Chronic loose stool, one pound weight loss in the last year, 2/6 heart murmur. Fecal with giardia – all negative. Not on an any medication. Labwork WNL.

Image Interpretation

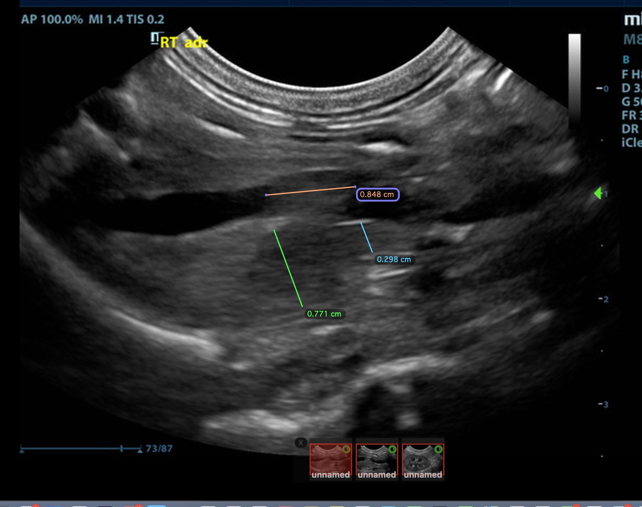
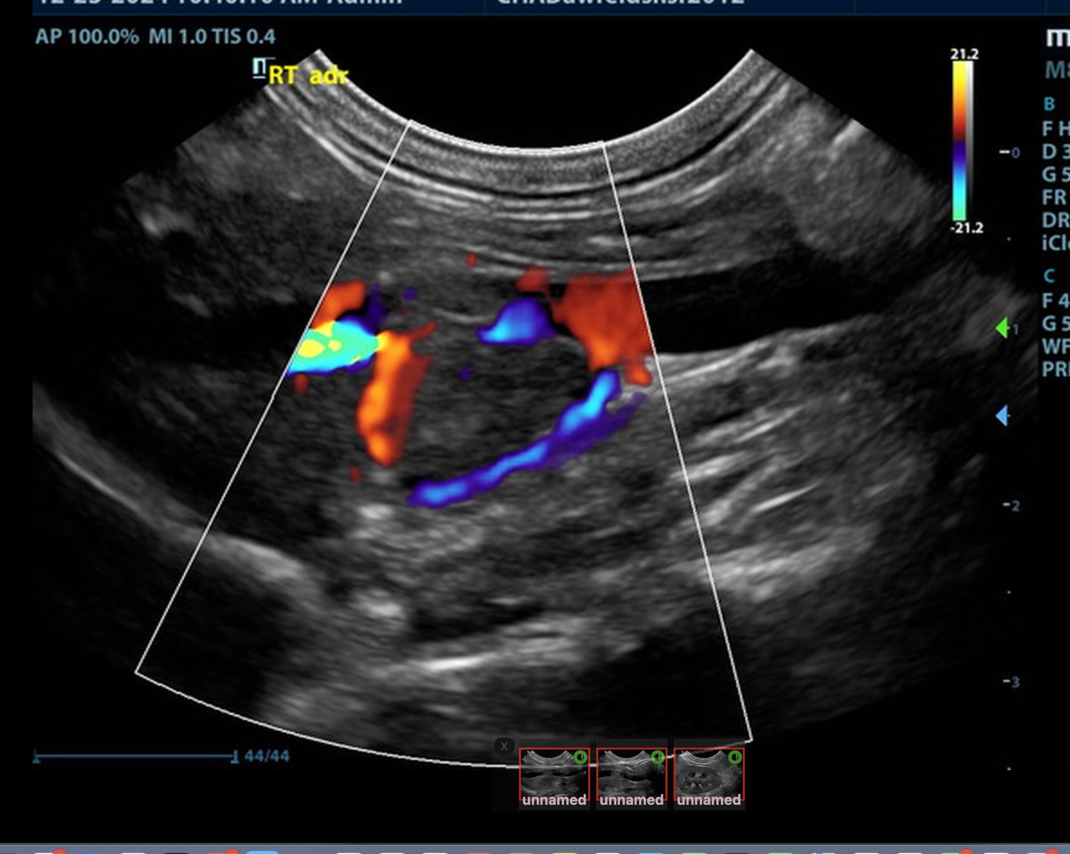
The right adrenal was enlarged and irregular, measuring 0.77 cm at the cranial pole and 0.30 cm at the caudal pole, with a caval invasion of 0.85 cm. Minor areas of mineralization noted. The left adrenal gland was recognized as normal. Mild variable GI thickening and echogenic submucosal changes. Some loss of renal curvilinear patterns regarding the capsule and cortico-medullary junction; increased echogenicity, mineralization.  Some hepatic parenchymal remodeling.

  • Invasive right adrenal mass
  • Mild GI thickening
  • Age related renal changes with mineralization
  • Age related hepatic changes

Comments

Surgical consult warranted. The surgeon should be prepared for invasion of the vena cava at approximately 1.0 cm. Assessment of sodium to potassium ratio warranted. If hypokalemia present, aldosterone levels indicated. Serial blood pressures, chest radiographs warranted. No overt evidence of metastatic disease. The right adrenal pathology may not be overtly responsible for the weight loss. Malassimilation/maldigestion panel should be considered.

Patient Information

Gender : Female, Spayed
Species : Feline
Type of Imaging : Ultrasound
Status : Complete

Clinical Signs

  • chronic loose stool
  • Weight loss

Exam Finding

  • Heart Murmur

Images

Clinical Signs

  • chronic loose stool
  • Weight loss
Skip to content