Intestinal mass in a 7 year old FS Rottweiler dog

Case Study

Intestinal mass in a 7 year old FS Rottweiler dog

A 7-year-old FS Rottweiler dog was presented for vomiting, intermittent diarrhea, and inappetence for 1 week. There had been a partial response to IV fluids and Cerenia for 2 days. Blood work was within normal limits.

A 7-year-old FS Rottweiler dog was presented for vomiting, intermittent diarrhea, and inappetence for 1 week. There had been a partial response to IV fluids and Cerenia for 2 days. Blood work was within normal limits.

Sonographic Differential Diagnosis

Primary R/O lymphoma. Other round cell neoplasia, carcinoma, and less likely, granulomatous disease. Possible metastasis to mesenteric root lymph node.

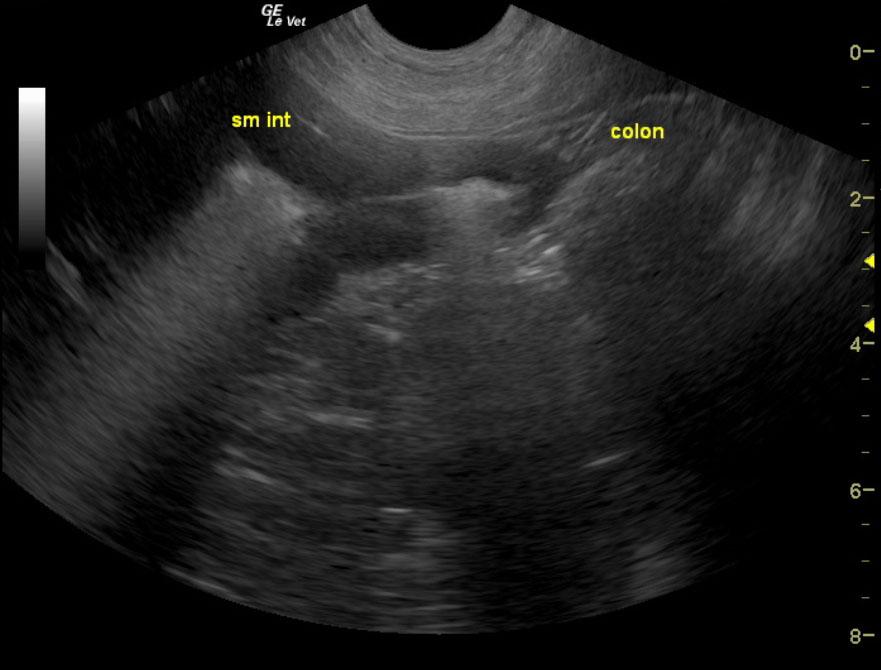
Image Interpretation

The gastrointestinal tract in this patient presented a distal small intestinal infiltrative mass that measured greater than 12 cm x 3-4 cm wide with loss of mural detail. Some areas of gas penetration within the wall were also noted. Associated lymphadenopathy was present, yet considered minor. This mass appears to be involved in jejunum to ileum and approaches the ileocecocolic region. The only overt suspicion of metastatic disease lies in the 2 x 1 cm mesenteric root lymph node. Other smaller lymph nodes were prominent. However, these may only be inflammatory in nature.

DX

Intestinal mass

Comments

If the intestinal mass is to be surgically addressed, ileocecocolic resection is likely going to be necessary. Liver biopsies should be considered to adequately stage this disease. Recommend biopsy of mesenteric root lymph node.

Clinical Differential Diagnosis

GI pathology (foreign body, neoplasia, IBD, intussusception, infectious- bacteria/fungal/protozoal, granulomatous disease; Pancreatic pathology (pancreatitis, neoplasia)

Sampling

None

Patient Information

Patient Name : Kona S
Gender : Female, Spayed
Species : Canine
Type of Imaging : Ultrasound
Status : Complete
Liz Wuz Here : Yes
Code : 04_00244

Clinical Signs

  • Anorexia
  • Diarrhea
  • Vomiting

Images

04-00244_image_01_0617201107060604-00244_image_02_06172011070555

Clinical Signs

  • Anorexia
  • Diarrhea
  • Vomiting