Intestinal lymphoma in a 13 year old FS DLH cat

Case Study

Intestinal lymphoma in a 13 year old FS DLH cat

This 13-year-old FS DLH presented for anorexia. The physical examination revealed a palpable abdominal mass caudal to the kidneys and cranial to the urinary bladder. A CBC and blood chemistry profile demonstrated no significant findings.

This 13-year-old FS DLH presented for anorexia. The physical examination revealed a palpable abdominal mass caudal to the kidneys and cranial to the urinary bladder. A CBC and blood chemistry profile demonstrated no significant findings.

Sonographic Differential Diagnosis

Differential diagnoses included an intestinal wall mass with suspicion of multifocal ulceration and peri-intestinal inflammation. Partial omental and/or mesenteric adhesion cannot be definitively ruled out. These findings would be most consistent with neoplasia. Inflammatory or granulomatous diseases were considered less likely.

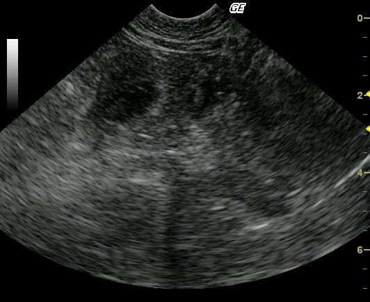
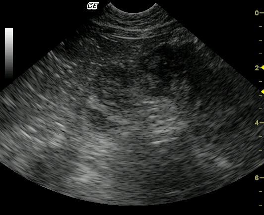
Image Interpretation

This image shows marked, circumferential, slightly asymmetrical, focal bowel wall thickening. The affected bowel wall is hypoechoic, heteroechoic, lacks layering, and possesses a slightly undulating serosal margin. The peri-intestinal mesentery and omentum are echogenic, most notably within the far field.

DX

Intestinal lymphoblastic lymphoma

Outcome

The owner elected euthanasia after treatment options were discussed.

Clinical Differential Diagnosis

Neoplasia, intestinal foreign body, complicated enteritis with lymphadenopathy, granulomatous disease.

Sampling

22-g and 20-g US-guided FNAs were obtained, and cytology was consistent with lymphoblastic lymphoma.

Patient Information

Patient Name : Artemis D
Gender : Female, Spayed
Species : Feline
Type of Imaging : Ultrasound
Status : Complete
Liz Wuz Here : Yes
Code : 04_00021

Clinical Signs

  • Anorexia

Exam Finding

  • Palpable mass

Images

Artemis1_04122011083859Artemis2_04122011083910

Clinical Signs

  • Anorexia