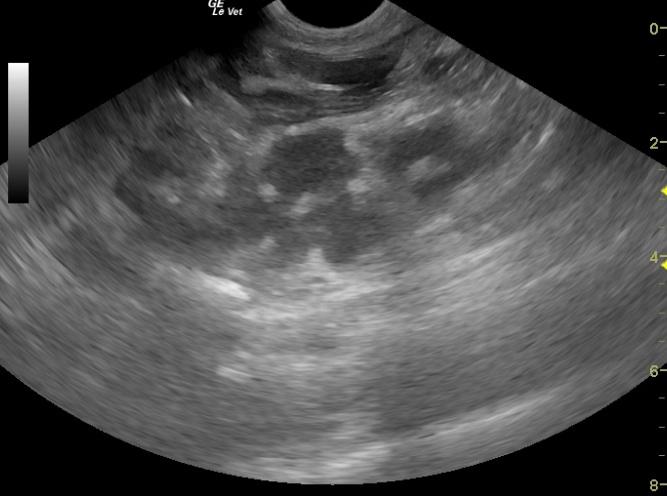
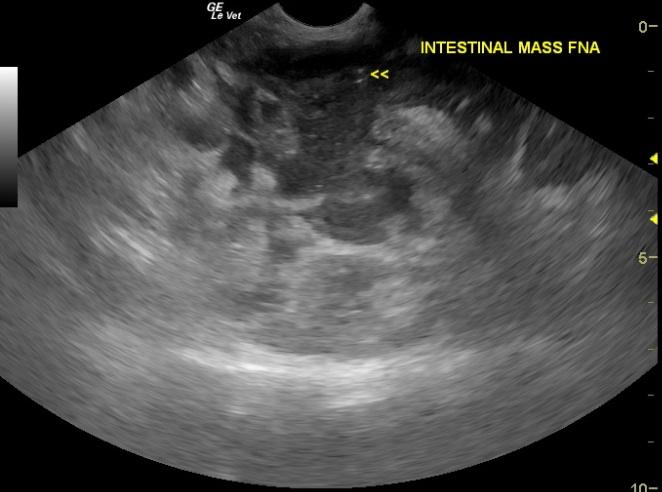
A 12-year-old MN DSH cat was presented for acting hungry but not eating, polyuria, and progressive weight loss. The only significant abnormality on physical examination was a thickened intestine.
A 12-year-old MN DSH cat was presented for acting hungry but not eating, polyuria, and progressive weight loss. The only significant abnormality on physical examination was a thickened intestine.

